多囊卵巢综合征是女性常见的内分泌疾病,这种疾病不仅会让月经长期不来,甚至会因内分泌异常导致体毛变多,请自己Check多囊卵巢四大症状,中两项患病机率就高喽!

认识多囊卵巢综合征
多囊卵巢综合征是女性常见的内分泌紊乱疾病,占育龄女性的5~10%。原因主要是卵巢中的滤泡数量增生,使得雄性贺尔蒙分泌过多且无法正常排卵,月经可能出现半年或一年才来一次等不规则的情形。
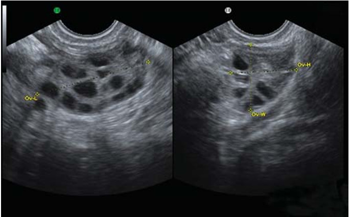
在做超声检查时发现两边卵巢长出许多小囊(内含有卵子),这些小囊大小约2~8mm,小囊数目每边卵巢约10个以上,会导致卵巢发育不正常且无法定期排卵。
自我健康检查,有无这些多囊卵巢症状?
多囊卵巢综合征四大主要症状,如果发现其中的2项,就有很大的可能是多囊卵巢所导致的:
1、月经不规律
每年月经可能少于9次,或是月经时间间隔超过35天。
2、雄激素过量症状
脸部、腋下和身体毛发过度生长(多毛症),偶尔也会出现严重的*疮痤**、狂冒痘痘和雄性秃发。
3、黑色棘皮症
在后颈部、腋下、胯下会有黑色素沉积,像天鹅绒般的黑色皮肤;大白话的说法就是在脖子等皱摺处,有看起来黑黑、脏脏的,像没洗干净的粗皮。
4、卵巢结构异常
影像学检查发现卵巢有变大的情形,或是在卵巢发现超过12颗以上的滤泡。

多囊卵巢综合征对身体的影响
1、不孕
多囊卵巢综合征因为长期不能正常排卵,月经总是不规则,久久才来一次,难以遇到排卵时间*房行**,所以有不易怀孕的问题。
2、肥胖
多囊卵巢女性的肥胖与正常女性的肥胖有些差异,正常女性是下半身的梨子型肥胖,而这些雄性素偏高的女性肥胖常是上半身与腹部的苹果型肥胖。
3、糖尿病
多囊卵巢综合征会导致胰岛素浓度的大量上升,如果没有适当治疗,长期下来会对胰岛素产生阻抗性,使身体策划对胰岛素反应不灵敏,形成糖尿病体质。
4、心脏疾病
对胰岛素的作用有抵抗力,也会增加患心血管疾病的机会。
5、子宫内膜癌
如果一直没有适当的月经周期,子宫内膜的生长也会不正常,因此会导致子宫内膜增生甚至增加子宫内膜癌的危险。
6、流产或早产
多囊女性血液中的雄性荷尔蒙及LH荷尔蒙增加,会影响到卵子的品质,故怀孕后有高出常人三倍以上的机率流产。
多囊卵巢综合征如何治疗?
1、口服避孕药
如果暂时不打算怀孕,吃口服避孕药,如合成的黄体素加雌激素,可以减低身体制造雄性素,而且降低雌激素对子宫内膜的刺激,让内膜可以休息,恢复健康。
2、刺激排卵药物
如果计划怀孕,医生可能会开刺激排卵药物,促进卵泡成熟,诱发排卵。
3、胰岛素增敏剂
可减少肝脏制造和释出葡萄糖的机制,降低胰岛素分泌,并改善排卵状况,还有抑制雄性素分泌。
4、其他
有些医生可能会开黄体素,调整患者的生理周期以及保护子宫内膜。但黄体素无法抑制雄性素。
5、腹腔镜手术治疗

多囊卵巢综合征的饮食原则:高纤、少糖
1、多摄取高纤蔬菜、水果、全谷物,占每日饮食中大约40-50%。
2、适当补充瘦肉和蛋白质,占每日饮食中大约18-25%。
3、以少量多餐(大约4小时一餐)使血糖不致上升过快。
4、碳水化合物、甜食、油炸类食物应少吃。
5、低脂乳制品的食物,每天两至三份。
6、增加omega-3不饱和脂肪酸,像是牛油果、鲑鱼、核桃等,能改善胰岛素阻抗。