某些特定的胰腺炎性病变在影像学上可能与胰腺导管腺癌相似,从而干扰了准确的术前诊断,并可能导致不必要的手术。呈肿块样的炎性病变包括肿块形成型慢性胰腺炎、局灶性自身免疫性胰腺炎和十二指肠旁胰腺炎或“沟槽性胰腺炎”。此外,梗阻性慢性胰腺炎可能类似梗阻性壶腹肿物或胰腺主胰管的导管内乳头状黏液性肿瘤。次要的影像学特征如导管穿透征、胆管或主胰管跳跃狭窄征、囊样边缘征、胰腺胰管与胰腺实质的比值、慢性钙化性胰腺炎患者中移位的钙化、“*管双**”征、血管包裹或移位征等,有助于提示可能的炎性肿块或肿瘤病变。
了解这些帮助诊断的恶性病变或炎性病变的次要影像学征象,可以帮助放射科医生进行鉴别诊断并确定怀疑为恶性病变的程度。重复活检或手术切除可能是实现准确诊断所必要的,防止对于炎性病变进行不必要的手术。

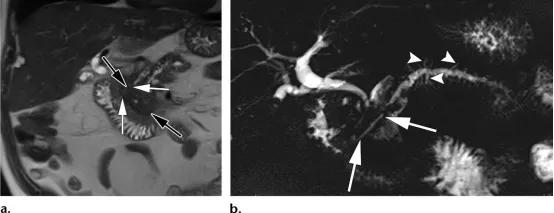
倾向于炎性病变(或肿块形成型胰腺炎),而非胰腺恶性肿物的影像学表现。
(a图)冠状位T2WI磁共振示胰头区域不均匀的肿物样病变(黑色长箭头),主胰管近端管径缩小,但可见横穿此肿物(白色长箭头)。
(b图)磁共振胆胰管成像,清晰显示肿物样病变内狭窄的主胰管(白色长箭头),符合导管穿透征。在胰管远端可见显著的分支胰管(白色短箭头)。

倾向于胰腺恶性肿物而非炎性病变的影像学表现。
(a图)冠状位CT图示胰腺导管与胰腺实质的比值大于0.5(用白色*表示的,弥漫扩张的主胰管的最大直径,与用白色长箭头表示的,表面覆盖的萎缩的胰腺实质,的比值);
(b图)轴位CT图示胰腺背景实质中弥漫性钙化,钙化被胰腺体部局灶性低密度病变(白色虚线圆圈包围的区域)推移至外周;
(c图)磁共振胆胰管成像示*管双**征,表现为扩张的胰管(两个平行排列的白色长箭头)以及扩张的胆总管(单一白色长箭头);
(d图)轴位CT图示泪滴征(黑色长箭头),肠系膜上静脉的泪滴样形态异常,这是由于血管被包裹,同时需要注意血管周围间隙内脂肪的丢失;
(e图)轴位CT图示肠系膜上动脉与肠系膜上静脉的比值≥1.0,或肠系膜上静脉的管径变窄(白色短箭头),与肠系膜上动脉(白色长箭头)的管径几乎相同。同时也需要注意血管周围间隙内脂肪的丢失。

49岁女性,胰腺头部的肿块形成型慢性胰腺炎。
(a图)轴位CT示扩张的主胰管(白色五角形),胰腺实质完整保存,未见明确萎缩。胰管与胰腺实质的比值小于0.5,胰腺实质内可见散在钙化灶(白色短箭头);
(b图)冠状位CT图示,胰头区肿块样病变(白色圆圈),胰管突然变窄,并穿透于实质内(黄色长箭头)。

56岁男性,胰头区的胰腺导管腺癌(PDAC)。
(a图)轴位CT图示肠系膜上静脉(白色短箭头)与肠系膜上动脉(黑色长箭头)大小相仿,伴血管周围的软策划密度包裹(白色长箭头)。肠系膜上静脉的轮廓异常。
(b图)轴位CT图示,胰头区局灶浸润性低密度肿物,侵及胃十二指肠动脉(白色长箭头)。
(c图)轴位CT图示远端胰管的管径正常,胰腺实质也保存完好(白色短箭头),注意观察扩张的胆总管远端(白色*),未见胰腺实质背景的钙化。

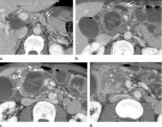
43岁男性,肿块形成型慢性胰腺炎,伴假性囊肿。
(a图,b图)轴位CT示主胰管弥漫增粗(两个平行排列的白色双箭头)以及扩张的胆总管(黑色长箭头),这也称为*管双**征。胰腺实质保存完好,胰管与胰腺实质的比值小于0.5。
(c图)轴位CT图示胰头区散在钙化灶(白色长箭头),在胰头区域可见囊性病变,伴血性内容物,符合假性囊肿表现。
(d图)轴位CT图示胰头区肿块样增大(白色圆圈)

49岁女性,胰腺导管腺癌与慢性胰腺炎。
(a图)轴位CT图示胰头边界不清密度稍低的肿物(白色圆圈),向外周推移的钙化(黄色长箭头),肠系膜上动脉(红色长箭头)与肠系膜上静脉(蓝色长箭头)比值为1,肠系膜上静脉呈泪滴征,血管周围脂肪间隙被肿物侵犯(白色长箭头)。
(b图)冠状位CT示扩张的胰管(白色五角星)及分支胰管(白色短箭头)。
(c图)轴位CT图示扩张的胆总管(两个平行排列的白色长箭头)。

40岁男性,2型自身免疫性胰腺炎(AIP)。
(a图)冠状位增强CT示胰头区局灶肿物(白色圆圈),注意观察其轮廓光滑,正常胰腺小叶消失,以及低密度的纤维边缘(白色长箭头)。
(b图)CT图示乙状结肠黏膜增厚伴高强化。同时可见结肠周围血管充血(黑色长箭头)及淋巴结肿大(白色长箭头),结肠镜及活检符合溃疡性结肠炎。

42岁男性,2型自身免疫性胰腺炎
(a图)轴位T2WI示胰腺近端边界不清的等信号肿块样病变(白色长箭头)
(b图)冠状位T2WI示胰管管径变窄,并横穿同一区域(白色长箭头),注意观察胆总管远端的局灶性狭窄(白色短箭头)
(c图)轴位增强延迟期磁共振示同一区域的局灶性肿物样病变(白色短箭头),其余胰腺未见明确异常。

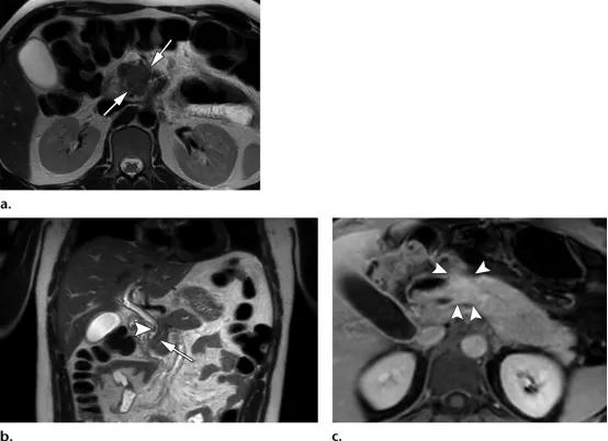
35岁女性,1型自身免疫性胰腺炎,(a图)轴位T2WI示低信号纤维化边缘(白色长箭头),(b图)轴位增强磁共振示均匀强化的胰腺以及不强化的纤维边缘(白色长箭头)。

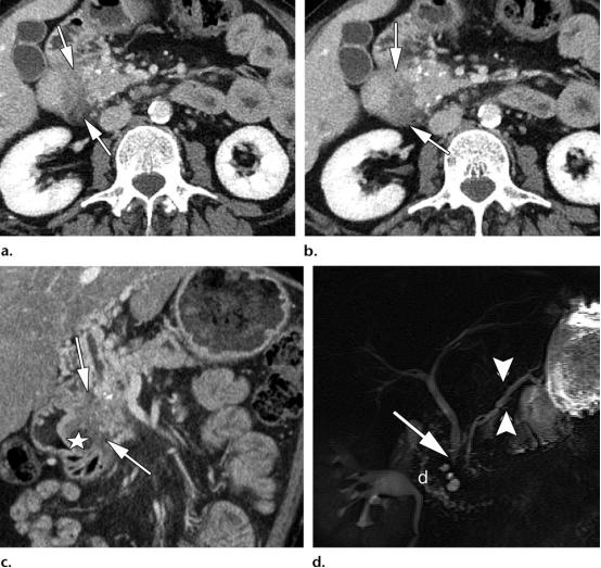
39岁男性,1型实性十二指肠旁胰腺炎(PDP,即沟槽性胰腺炎)
(a图,b图)轴位CT示边界不清的低密度肿物样病变,位于十二指肠胰腺沟内(白色长箭头),胰头区可见散在的胰腺实质钙化灶。
(c图)冠状位CT图示十二指肠沟内肿物样病变(白色长箭头),以及十二指肠壁的囊性变(白色五角星),胆总管远端部分可见。
(d图)磁共振胆胰管成像示胆总管远端局灶狭窄(白色长箭头),胰腺分支胰管略微显著(白色短箭头),注意观察十二指肠胰腺沟的增宽,以及十二指肠壁的囊性变(白色字母d)。

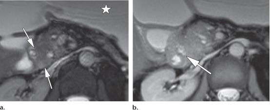
41岁男性,1型实性十二指肠旁胰腺炎/沟槽性胰腺炎,
(a图)轴位压脂T2WI示十二指肠内侧壁的边界不清的肿物样增厚,呈等信号影(白色长箭头),同时患者有十二指肠出口梗阻,注意观察扩张的胃(白色五角星)
(b图)轴位压脂T2WI示胰腺头部以实性为主的肿物样区域,沿十二指肠壁的微囊性病变(白色长箭头)。

42岁男性,十二指肠乳头周围的腺瘤,(a图)磁共振胆胰管成像示胆道扩张,胰管扩张,以及胆总管远端边界不清的充盈缺损(白色长箭头),(b图)轴位增强T1WI示十二指肠乳头区域不均匀强化的结节样病变(白色长箭头)。

53岁男性,主胰管的导管内乳头状粘液性肿瘤,(a图)冠状位T2WI,示扩张的主胰管内低信号的充盈缺损影(白色长箭头),(b图)轴位增强T1WI示沿着扩张主胰管走形的结节样黏膜强化影(白色长箭头),(c图)内镜示十二指肠区域经典的鱼眼样外观,十二指肠大乳头突入十二指肠。
参考文献:Kristy Marie Wolske, MD,Janardhana Ponnatapura, MD etc. Chronic Pancreatitis or Pancreatic Tumor? A Problem-solving Approach RadioGraphics 2019; 39:1965–1982
来源:医学影像服务中心
【版权声明】本平台属公益学习平台,转载系出于传递更多学习信息之目的,且已标明作者和出处,如不希望被传播的老师可与我们联系删除