
作者:邵璞*,刘恋,刘鹏,贾白雪,贺红卫
单位:北京天坛医院(*北京朝阳急诊抢救中心(南区)神经外科)

前言
椎-基底动脉巨大夹层动脉瘤在过去是老大难。外科开刀?不太现实。双侧椎动脉闭塞?诸多限制。支架+圈?复发简直是一定的。如今,血流导向装置的出现,给这种疾病的治疗带来了曙光。是不是莆田系广告词?不是,治疗大动脉瘤,我们是认真的!
病 例
病史简介
陈世琴,女,28岁
主诉:间断头痛2月余
现病史:2月前无明显诱因出现头痛,呈进行性加重,无恶心及呕吐,无肢体活动障碍,曾就诊于当地医院查头CTA及MRA示:椎-基底动脉汇合部巨大动脉瘤。双侧椎动脉均有供血,以左侧为主。
既往史:2011年因胆囊结石行胆囊切除术;2018年因双侧卵巢囊肿行双侧囊肿切除。
体格检查:血压:120/80mmHg,心率70次/分。双侧咽反射减退。余神经系统查体无阳性体征。
辅助检查:各项化验无异常
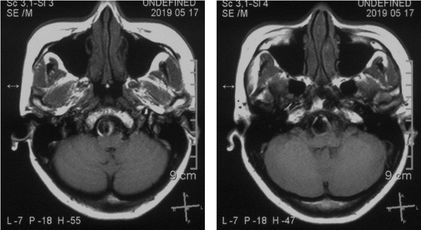
2019.5.17外院头颅MR

患者核磁共振显示脑桥-延髓前方流空影,考虑动脉瘤,有明显的双腔征,瘤壁有加强,且对脑干有一定的压迫。
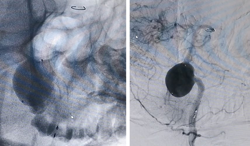
2019.5.25外院DSA

手术指征:
患者有间断头痛,呈进行性加重,且出现后颅组神经症状,双侧咽反射减退)
手术方案:
通过造影可以看到,动脉瘤主体位于右侧椎动脉,左侧椎动脉也有累及,不过左侧椎动脉PICA以远的部分纤细,考虑可以牺牲掉而不会影响基底动脉血供,但可以部分减少动脉瘤压力。左侧椎动脉为优势椎动脉,则应用PED装置保护并重建之。
术前用药:
阿司匹林100mg Qd 波立维75mg Qd
手术经过:
双侧股动脉行Seldinger穿刺,右侧置入6F动脉鞘,左侧置入5F动脉鞘,6F Guiding经右侧股动脉鞘进入左椎动脉,准备进行PED释放;5F Guiding经左侧进入右椎动脉,准备动脉瘤部分填塞后,闭塞右侧PICA远端椎动脉。

经左椎动脉造影可见椎-基底动脉汇合部巨大动脉瘤,双侧椎动脉均有累及,以左侧椎动脉为主,右侧PICA与动脉瘤有一定距离,基底动脉稍受累及,AICA距离动脉瘤较近。

先用Synchro-200携Echelon-10由右椎动脉进入动脉瘤腔,微导管在瘤腔内盘圈,可以在输送弹簧圈的时候使弹簧圈分布更均匀

然后将Marksman微导管通过左侧椎动脉顺利进入左侧大脑后动脉

PED支架沿Marksman进入准备释放

释放PED。由于瘤颈很宽,所以PED需要足够长,动脉瘤远端和近端才能具有足够的锚定力量,防止支架坠入瘤腔内。所以,我们选择了3.25*35mm的支架。支架上端定位在基底动脉中段

PED释放完毕,位置及贴壁良好,左椎-基底动脉血运通畅,未填弹簧圈,即可见到瘤腔内造影剂的滞留,说明支架贴壁良好,起到了良好的重建作用

经右椎动脉逐步填塞大弹簧圈进入动脉瘤(Microplex-18系列),逐步将动脉瘤疏松填塞。期间微导管头端受到弹簧圈阻力,会缓慢回撤,此时不必刻意调整微导管再次深入动脉瘤腔内,因为我们最主要目的不是严密填塞动脉瘤—那是PED的任务—而是闭塞右侧椎动脉

最后,用小弹簧圈完全闭塞右侧椎动脉(PICA以远)

左椎动脉造影显示椎-基底动脉及远端血管通畅,动脉瘤虽然部分显影,但是PED最终会让动脉瘤完全修复。
结局:
患者术后各项体征稳定,无特殊不适。两天后出院。
术者心得:
PED应该说是颅内动脉瘤治疗的又一个里程碑。许多既往我们束手无策的动脉瘤,PED可以大放异彩。但是PED对于后循环动脉瘤,应该属于Off-lable的,因为说明书里头没有适应症。不过,有时候,PED在后循环似乎比前循环更有用武之地,尤其是夹层动脉瘤。
PED的选择和释放都有一定技巧,不像我们常用的辅助栓塞的支架。PED释放有推送释放和减张释放。推送释放有两个目的,一个目的是为了网孔更密集,从而进一步减少进出动脉瘤的血液,让血液更快滞留;另一个目的,则是减少支架的纵向收缩力,防止支架完全着陆后,由于支架仍然存在回缩势能,有可能发生迟发性支架移位。推送释放存在风险,一个风险来源于支架头丝,在推送释放时,由于头丝完全不受旋转控制,只能前进,难免有刺破血管之虞,所以,一定确保Marksman微导管处于穿支血管较少的部位,另外要确保头丝处于我们的操作视野;第二个风险是,如果动脉瘤颈过于宽大,有可能将Pipeline推送掉入动脉瘤腔内。所以,在某些时候,我们就需要对支架进行减张释放,即不往前推送,采取普通支架的释放方式。再有,就是PED在遇到血管较大的转折部位时候,需要抽拉和推送交替进行数次,才能确保PED在转折部位的贴壁。释放过程中,要不断在透视下旋转增强器,选择合适的角度观察PED张开情况。

神经介入在线作为中国卒中学会神经介入分会的官方公众号,现已成立三年。作为最早创建的神经介入专业的学术交流平台,由缪中荣教授团队倾力打造,秉承合作、创新、交流的宗旨,为医务工作者提供国内外神经介入领域最新资讯、指南,聚焦难点深度评论,引领学术前沿。
2019年致力搭建神经介入领域国内外最新医学资讯、研究进展、病例讨论、趣味科普等各项学术交流互动共享平台,整合医疗资源,发挥联盟优势,风雨共济,守候健康,我们在这里等你!

报名入口
取栓培训班
2019.8.26-9.7