
牙龈肿痛,通俗来讲指的是牙齿根部痛,加之周围齿肉肿胀,故称牙龈肿痛,也叫牙肉肿痛。牙龈肿痛主要是牙龈有炎症,牙龈下的炎症通过牙缝,牙结石,口腔死角进行多方位的传播,导致牙龈附着牙菌斑而导致牙龈肿痛。

牙龈与牙齿是消化道的“门户”。中医认为,急性牙龈炎多由食伤脾胃、胃肠积热、循经而上所致;慢性牙龈肿痛则多是由于肾虚精亏血少,虚火上炎于龈肉。牙龈炎的危害不止于口腔,牙龈炎病人患心脏病的风险要比普通人高3倍。
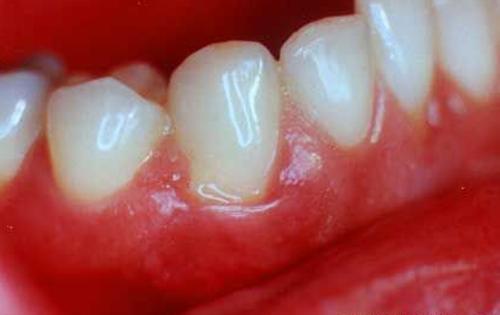
一般性牙龈肿痛主要表现为以下几种病症:

1、急性牙周脓肿
牙龈上突发光亮的肿胀突起,肿胀区域触痛、波动感,有脓性分泌物。 牙齿对叩诊敏感或有松动,可伴有牙髓症状。伴有局部淋巴结肿大。
2、智齿冠周炎
急性冠周炎早期,一般无明显全身反应,患者自觉患区胀痛不适,咀嚼、吞烟、张*活口**动时疼痛加剧。检查可见阻生牙和磨牙后区肿胀、冠周袋内有脓性分泌物。
炎症进一步发展,累及咬肌和翼内肌,出现下颌角区肿胀,伴有不同程度的张口受限甚至不能开口。全身症状明显,常有颌下淋巴结肿大和压痛。如未及时合理治疗,可发展为冠周脓肿、颌面部蜂窝策划炎甚至骨髓炎。
3、牙龈脓肿
龈乳头及龈缘深红色或暗红色,肿胀肥大,龈缘圆钝,牙龈乳头呈球状,多不涉及附着龈。 一般有食物嵌塞或异物刺入牙龈等明显的刺激因素。
4、急性根尖周炎
自发性胀痛及咬合痛,可伴低热、乏力等全身症状。根尖区粘膜肿胀,呈半球形隆起,扪诊波动感明显。
牙龈肿痛除了一般*药性**物治疗外,还有一些偏方可供参考,分为为内服和外敷两种疗法:

内服疗法:
1、绿豆100克、甘草15克,水煮熟,去渣,食豆饮汤,每日2次,每日1剂。
2、猪腰子1只、食盐少许、骨碎补15克,水煮食肉饮汤,每日1剂。用于肾亏牙浮、牙隐痛,劳累后易发者。
3、红糖适量,荞麦根一把,水煎,分数次服。用于治小儿牙痛。
4、猪肉适量、水芹鲜根30克,水煎,分数次服。
5、鲜姜100克、丝瓜500克,将鲜丝瓜洗净,切段,鲜姜洗净,切片。二叶加水共煎煮3小时。每日饮汤2次。本方用治牙龈肿痛,口干鼻涸,鼻膜出血(流鼻血),具有清热解毒、消肿止痛之功效。
外敷疗法:
1、云南白药粉加热水调成稀糊状,直接涂在龋洞和牙龈上即可。
2、取六神丸数粒,置于龋洞中,咬紧即可止痛。
3、切一片生姜咬在痛处,必要时重复使用,即可止痛。
4、樟脑、冰片适量,共研成细末,放于牙痛处,并令病人吸气即可止痛。
5、荔枝10只,在其肉内填入少许食盐,用火煨干后研末,擦痛处即可。
6、取陈醋120克、花椒30克、熬10分钟,待湿后后含在口中3-5分钟吐出(切勿吞下),可牙龈肿痛。