
张磊 教授,解放军306医院放射影像科,核磁共振室
磁共振脑白质区内斑点影解读
(基于解剖机理之长篇报告)
或许每个人在体检或者看病的过程中都与磁共振MRI检查有过接触,可能最多检查的部位就是因头疼脑热而行头颅MRI,而在获得的颅脑检查报告中经常会见到“腔隙性脑梗死”、“多发脱髓鞘样改变”、“血管周围间隙扩大”、甚至“脑缺血灶”这样的诊断报告,这些不同的诊断名字究竟要表达怎样的病理意义呢?
首先,规范地来讲“缺血灶”不属于正规诊断名词,在教科书及医学文献搜索引擎里是无法检索到其定义及相应的理论基础,它可以表示一种缺血缺氧的状态,而定义为“缺血灶”只能算是想象化的口头描述或俗称。
腔隙性脑梗死(Lacunarinfarction, LACI)、脱髓鞘样改变或白质疏松(Leukoaraiosis, LA)、血管周围间隙(Virchow-Robin spaces, VRS或者PVS)的确是存在于脑内需要鉴别的斑点状病灶。虽然在大多情况下少许斑点影的存在可以认为是微不足道的,或被视为正常,但是其各自还是具有不同的影像学表现及病理生理基础的。

脑白质区内斑点影界定之改良Fazekas法参考标准
由于磁共振对水成像的敏感性,腔隙灶、脱髓鞘和血管周围间隙在磁共振的T2WI上均呈高亮的信号,与过去的CT检查比较虽然大大提高了这些病变的检出能力,但是同时也带来了一些鉴别诊断上的困难,MRI可以笼统地称之为不明原因亮点。
------
1)以下内容专业性相对较强,可随兴趣阅读
2)本篇内容未涉及多发性硬化(MS)疾病
3)不想了解相关机理及内容,结论请直奔文章最后

腔隙性脑梗死 (LACI),应属于腔隙性卒中综合征的一种,是由CharlesMiller Fisher通过尸检及病理对照于60年代正式提出的。“Lacunar”是深部脑策划坏死后残留的腔隙(<15mm),腔隙性梗死多是腔隙性卒中的结果,是由于深部小穿支动脉血管病变所产生,动脉病变基础被认为与脂质透明变性或粥样斑块形成有关,主要病因多是由于高血压和糖尿病。腔隙性卒中也被称为小血管病变,这些动脉供血范围为皮质下白质区、基底节、内囊、丘脑、放射冠、及旁正中桥脑,负责这些区域的血管包括大脑中动脉的豆纹动脉、大脑后动脉的丘脑膝状体动脉、和基底动脉旁穿支。这些病变血管及范围决定了LACI发生的部位。

Charles Miller Fisher (1913-2012)

A-大脑中动脉豆纹动脉分支;
B-大脑后动脉的丘脑膝状体动脉;
C-基底动脉旁穿支动脉(桥脑支)。


陈旧性腔隙性脑梗死多表现为边缘锐利、形态多样的病灶,如三角形、月牙形等,一般不很大,也无占位效应。

腔隙综合征伴随的临床症状与相应的LACI部位
------

脑白质疏松症 (1eukoaraiosis , LA)首先是作为一个影像学诊断术语于1987年被Hachinski等提出,它描述了脑室周围以及半卵圆中心区脑白质弥漫性斑点状或连绵呈斑片状改变。CT呈现特有的白质稀疏和低密度,或者MRI T1WI像呈等或低信号,T2WI像呈高信号。然而,越来越多地研究发现,CT和常规MRI影像学所见的LA病症数量、位置和损害程度的临床表现往往并不一致,许多LA患者往往没有任何临床症状。表明CT或MRI上非特异性的脑室周围改变不一定有临床意义。
尽管LA的确切发病机制还不清楚。但目前一般认为LA最主要的发病机制是脑部缺血性损伤,也有被认为脑血流量调节功能障碍,但均属于小血管病、小动脉硬化。

冠状切面描述脑灰质、白质
白质主要由神经纤维、轴突和胶质细胞组成,不含神经元胞体或突触。白质的血供多源于大脑深部脑白质的深穿支动脉。与侧脑室壁相邻白质区域的血供来源于室管膜下动脉的脉络膜动脉或纹状体动脉的终末分支,这种终末动脉很少或完全没有侧支循环,因此脑白质对缺血易感。在脑缺血或发生低灌注及其他血管病危险因素时,脑内小动脉和深穿支动脉发生结构变化:动脉壁增厚、透明变性、粥样硬化和管腔狭窄.使得白质区血供以及脑血流的自动调节机制改变。致缺氧、酸中毒和脑室周围水肿,出现脑白质弥漫性或局限性脱髓鞘、轴索丧失,胶质细胞变性增生,小血管周围间隙扩大。脑白质萎缩及筛孔状改变,引起脑白质疏松旧。
LA的缺血性损伤机制得到了大量解剖、病理、临床和实验模型研究的支持。如:尸检表明LA多发于脑室旁及深部脑白质,此处为侧支循环匮乏的终末动脉供血,故易致慢性缺血;临床发现,LA发生率和卒中史、高血压有强相关性;在病理学上,LA与人类缺氧、缺血性白质脑病策划学相似,与供应大脑白质的小血管结构学变化、与完全性梗死灶边缘可见的损害相似等;影像学研究提示LA病灶区比正常脑白质脑血流量降低、脑血管自动调节机制受损等。


大脑微循环:(A)动脉微循环。1:皮层动脉;2:软脑膜动脉;2.1:短分支 (软脑膜动脉及其短分支对皮层下U型纤维双重供血);3:室管膜下动脉;4:室管膜下穿支动脉;5:豆纹及丘脑穿支动脉;6:跨脑动脉。(B) 静脉微循环。1:皮层静脉;2:表浅髓质静脉;3:室管膜下静脉;4:深部髓质静脉

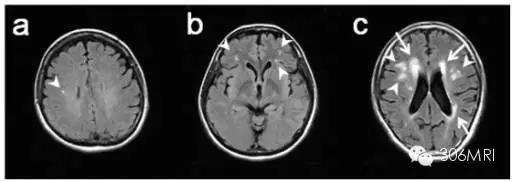
FLAIR扫描LA脑白质脱髓鞘改变
LA是多种原因引起的广泛的室周白质损害,与急性LACI病灶在常规MR检查中表现的信号强度相似,在通常遇到的老年患者中是个鉴别的难点,应用弥散加权成像DWI及ADC值可以较好地甄别急性LACI。
血管周围间隙 (perivaseular spaces , PVS)是由德国病理学家R. Virchow和法国生物学、策划学家C. P. Robin在一个多世纪前提出的,后来被命名为Virchow-Robin间隙。PVS可见于任何年龄,且随年龄增加其大小及数量会增加。随着影像学技术的发展,在常规磁共振序列上可发现扩大的血管周围间隙(enlarged perivascularspaces,EPVS),既往认为它很少导致脑策划损害,因而长期以来被视为正常的生理改变,然而近几年越来越多的证据显示EPVS与脑出血、腔隙性脑梗死、及多发性硬化等疾病有关。

血管周围间隙。(A)皮层动脉周围间隙仅有一层软脑膜环绕(长箭头),豆纹动脉周围间隙是双层软脑膜围绕(箭头及星标)。(B)静脉周围间隙与软膜下空间连通(箭头)。(C)血管周围间隙(箭头)。
PVS是软脑膜随着穿通动脉和流出静脉进出脑实质时延续形成的围绕在血管周围的一种结构,其外界是神经胶质界膜,内界是血管外层,随着血管树一直延伸至毛细血管水平,最后胶质界膜与血管外层融合成盲端。PVS是脑策划间液排除的主要通道,它可能还参与免疫调节,在多发性硬化中PVS可出现局部免疫反应。
以往研究认为通常情况下PVS直径小于2mm,当其直径大于2mm时则认为是EPVS。现在的研究普遍认为PVS是微观结构,在普通磁共振成像不能被观察到,但随着其直径增大到0.66mm,即可被观察到,所以目前认为磁共振成像可观察到的PVS即为EPVS,其直径通常小于3mm,可与LACI鉴别。EPVS在磁共振上边界光滑清楚,呈圆形、卵圆形或线形,与穿通动脉的走行相一致,在T1WI、T2WI及FLAIR序列上与脑脊液信号相同,无增强、占位效应。它的形成机制可能与血管通透性增加、脑脊液循环障碍、血管延长及扭曲及脑萎缩等有关,或者系策划液回流障碍所致。
EPVS在卒中人群中常见,其不同分布折射不同的疾病类型,同时EPVS与年龄、脑血管病危险因素、脑白质病变、微出血等有着密切关系,目前研究者们倾向于认为EPVS也属于脑小血管病影像改变的一种类型。
-------
对于白质区内斑点灶的识别与临床意义所在,有国外学者将白质区域及常见的斑点影像通过画图方式进行了归纳与展示,看到这些,我的膝盖碎了!

部位: ①皮质旁; ②皮层下U型纤维; ③皮层深部非边缘区; ④皮层下边缘区; ⑤脑室旁; ⑥胼胝体。
主要累及皮层旁①/或者胼胝体⑥提示是非血管性模式,其余部位趋于血管性模式或者非特异性模式,提示小血管病因。脑室周围病变取决于病变形状而可能提示血管性模式或者血管周围模式。

常见斑点影形状及发生部位与意义

血管性模式提示为微血管病灶,多指小动脉闭塞;血管周围模式主要提示脱髓鞘病变,如多发性硬化(MS);非特异性模式提示小血管病可能。
将斑点形状与部位归纳入三种不同的基本模式,其意义分别表示:血管性模式-多由小动脉病变引起,最普遍;血管周围模式-血管周围感染性病变引起,是相比少见的病因。典型者是多发性硬化MS,小静脉周围自身免疫性感染引起脱髓鞘;非特异性模式-多由小血管疾病引起。

对于白质区多发T2WI高信号斑点灶,国内学者总结认为在临床读片工作中一般遵循的规律应该是:
1)基底节区需要区分的是LACI及PVS,而不用考虑LA。PVS主要分布在两侧豆状核,100%双侧都有。PVS主要位于丘脑位于丘脑的中下2/3区域,上1/3则为LACI。结合冠状位或矢状位扫描能见到与血管走形一致的线状间隙,则对诊断PVS更有帮助。在丘脑及尾状核等灰质核团内,如能见到T1WI清晰的低信号,则应尽量诊断LACI。
2)脑室旁、半卵圆中心和皮质下脑白质在T2WI上的高信号最多见是LA及PVS,LACI相对占少数。T2WI上侧脑室前、后角周围脑白质内的边缘模糊片状高信号、脑室体部和半卵圆中心大片状高信号易于诊断LA,但是值得注意的是其中含有更高信号者需要结合T1WI的低信号区分LACI。
在总结与归纳上面的文字时,查阅文献中看到了一段编辑的话感触颇深:The term“incomplete infarct” does not advance our understanding of the process: it provides no more than a tattered cloak to hide the shame of our naked ignorance。似乎表达的是:不完全梗死(缺血灶?)的说法并不能促进我们对病变再深入地理解,它仅仅是提供了一个破烂的外套来隐藏我们赤裸无知的羞愧。
有探索,才会有真相!
参考文献:
1) Osborn,脑部影像诊断学,人民卫生出版社,2013
2) 武生平,李果珍,张伟,磁共振成像对老年人脑内腔隙灶、脱髓鞘和血管周围间隙的鉴别诊断.中华老年医学杂志,2002,21(5),340-343.
3) 栾萍,花倩倩,陆兵勋,等. 脑白质疏松症的磁共振扩散张量成像研究及其与急性腔隙性脑梗死的鉴别.中华神经医学杂志,2008,7(6),613-617.
4) 张晖,刘怀军,王勇.高场强磁共振DTI成像对老年人脑白质疏松症中急性腔隙性脑梗死的鉴别诊断价值.中国医学影像技术,2007,23(4),491-494.
5) 谭鑫,吴波,刘鸣, 扩大的血管周围间隙与卒中关系的研究现状及趋势. 中华神经科杂志,2015,48(3),224-226.
6) https://en.wikipedia.org/wiki/Lacunar_syndrome
7) http://stroke.ahajournals.org/content/37/6/1348.full
8) Hyperintensepunctiform images in the white matter: A diagnostic approach. Radiologia. 2012,54(4),321-335.
请看看我们的每一天!

