传统观念认为,生完孩子就要坐月子,因为产后的女性比较虚弱,如果不遵守的话,以后会落下病根俗称——“月子病”。

而其中有一条,大家一定听说过,就是不能刷牙、漱口,否则年纪大了之后,牙齿就会酸痛、松动。
那么坐月子到底能不能刷牙?
月子里的产妇也一定要刷牙漱口,因为怀孕期间雌激素水平较高,再加上有的人坐月子时会经常吃一些甜食,比如红糖水、糖氽蛋等,这会使口腔里的细菌较常人繁殖得更多更快。如果不把口腔清理干净,那么得龋齿、牙龈炎,牙齿疼痛、出血的几率也会比常人更高。
于是,为了权衡利弊,商家推出了一种,既能满足坐月子原则“不刷坏牙”,又能满足新规“要把牙齿刷干净”的产品——月子牙刷。

月子牙刷真的有那么好吗?
月子牙刷一般的形式就是一根木头片上绑一个海绵或者纱布。号称专为产后女性设计,各种天然,各种无害,各种柔软,无需牙膏,无需漱口即可达到口腔清洁效果。

这种牙刷看似两全其美,实际效果如何呢?
为了验证“月子牙刷”去除牙菌斑的效果
我在网上找到了北京大学口腔医院牙科医生专门做了一个实验。

两天没刷牙的状态

往牙上涂染色剂,涂好以后漱口,剩下的就是染色菌斑

漱完口,粉色的就是被染色的牙菌斑

使用“月子牙刷”刷牙后

感觉刷得还比较干净?放大看看
在最应该清洁干净的牙龈周围,由于海绵和纱布无法进入缝隙处,剩余有大量细菌。而且,即使是在光滑平整的牙齿正面,也依然有少量的菌斑残留。

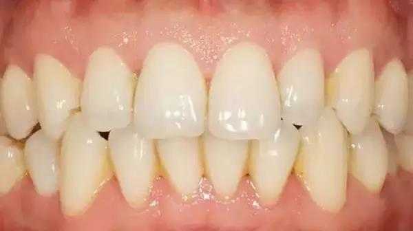
随便换了一把正常的牙刷,使用牙膏刷了几分钟后
实验结论是:“月子牙刷”是无法胜任刷牙的工作的
由此可见所谓的“月子牙刷”用海绵或纱布代替刷头,刷牙的时候不会刺激到牙龈,以免导致不必要的炎症出血等。其实没必要一定选择专门的“月子牙刷”,用刷毛比较软的普通牙刷效果也一样。

甚至很多月子牙刷号称添加了“木糖醇”来清洁牙齿。其实这种东西对于清洁口腔并没有特别的效果。一些“月子牙刷”中还添加了酒精,这种看似杀菌的物质,实际上是不能进入口腔环境的。很多人认为添加酒精的月子牙刷可以有效清洁杀菌,但其实口腔内的各种菌群是互相协调的,维持着一个平衡的状态,使用酒精只会破坏这种平衡。
因此,孕妇在选择牙刷的时候,一定要选择软而富有弹性的,这样才能实现控制牙菌斑的同时,不导致牙和牙龈的损伤。