
新近爆发的2019新型冠状病毒(SARS-CoV-2)具有较高的传染性,其临床主要表现为新型冠状病毒肺炎(COVID-19)。CT是临床筛检和诊断COVID-19的首选方式之一,也是构造生命防线的精锐卫士,正确认识COVID-19的CT表现对于明确诊断具有重要意义。
作者丨葉子 赣州市人民医院影像科
本文为作者授权医脉通发布,未经授权请勿转载。
一SARS-CoV-2病原学特点:
➤属于β属的冠状病毒;
➤其基因特征与SARSI-CoV和 MERSR-CoV有明显区别;
➤目前研究显示与蝙蝠SARS样冠状病毒(bat-SL- CAVLC45)同源性达85%以上;
➤病毒对紫外线和热敏感,56℃30分钟、*醚乙**、75%乙醇、含氯消毒剂、过氧乙酸和氯仿等脂溶剂均可有效灭活病毒,氯己定不能有效灭活病毒。
二流行病学特点
1.传染源:目前所见传染源主要是新型冠状病毒感染的患者。无症状感染者也可能成为传染源。
2.传播途径:经呼吸道飞沫和接触传播是主要的传播途径。在相对封闭的环境中长时间暴露于高浓度气溶胶情况下存在经气溶胶传播的可能。由于在粪便及尿中可分离到新型冠状病毒,应注意粪便及尿对环境污染导致气溶胶或接触传播。
3.易感人群:人群普遍易感。
三HRCT表现
基于病理分期的COVID-19可分为3期:早期、进展期与重症期。常见表现:单发或双肺多发、斑片状或节段性磨玻璃密度影(GGO)为主,多数病灶内纹理呈网格状(铺路石征);病灶沿支气管血管束或背侧、肺底胸膜下分布为主,空气支气管征,合并或不合并小叶间隔增厚,少数叶间胸膜增厚,极少数合并少量胸腔积液和/心包积液。
1. COVID-19病变早期CT表现
病变局限,斑片状、亚段或节段性分布为主。病变常于外1/3肺野、胸膜下分布。表现为单发或多发磨玻璃样密度(GGO)结节状、斑片或片状影,伴或不伴小叶间隔增厚为主,其内可见空气支气管征和血管增粗表现。

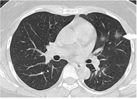
图1 49男性干咳2d,SARS-CoV-2核酸检测阳性,HRCT示双肺可见斑片状磨玻璃样密度增高影,境界欠清
2. COVID-19进展期CT表现
病变进展,病灶增多、范围扩大。可累及多个肺叶,下叶居多。病灶变密实,境界不清,实性结节周围可环绕磨玻璃样渗出影呈“晕征”(如图2),部分表现为“反晕征”(图3,4)。病变周围小叶间隔可由于间质水肿而增厚,重叠于磨玻璃影上出现“铺路石征”(图5)。

图2 38岁女性,干咳4d,SARS-CoV-2核酸检测阳性,HRCT示左肺上叶两片斑片状磨玻璃样,境界不清,病灶中央密度增高,呈“晕征”改变

图3-4 22岁女性,干咳5d,SARS-CoV-2核酸检测阳性,HRCT示左肺下叶见两片斑片状混合密度影,境界不清,病中央密度稍低高,呈“反晕征”改变,伴有小叶间隔增厚(箭头所示)

图5 60岁女性,干咳5d,SARS-CoV-2核酸检测阳性,HRCT示左肺下叶斑片状密度增高影伴小叶间隔增厚“铺路石征”,病灶内可见增粗血管穿行(箭头所示)
3. COVID-19重症期CT表现
双肺呈弥漫性病变,肺实质广泛渗出、实变,实变影为主,肺结构扭曲,支气管扩张,亚段性肺不张,严重时呈“白肺”。合并少量胸腔积液。

图6 22岁女性,(武汉人员接触史)发热,SARS-CoV-2核酸检测阳性,HRCT示双肺多发实性病灶,左肺下叶片状肺部实变
4. 恢复期
2019-nCoV肺炎患者治疗过程中病灶变化较快, CT表现与临床病情紧密相关。部分病例经过1-2周抗病毒抗炎等积极治疗后病变范围缩小,密度减低;同 时在其他肺野也会出现新的斑片状影;病变吸收过程中可出现不规则长索条状影,部分索条影可完全吸收,支气管增粗的程度减轻。部分病例治疗效果不佳,合并其他病原菌感染,肺内病变由局限性进展为多发、弥漫性病变,累及范围明显扩大,密实,合并肺不张、胸腔积液。

图7 57 男岁,SARS-CoV-2核酸检测阳性,A、B、C 、D分别为病程的第 3、8、11、17天。图 D 双肺上叶病灶大部分吸收
四总结
通过我院确诊新型冠状病毒肺炎的6例患者不同阶段的CT影像分析,胸部HRCT检查作为COVID-19患者筛检与诊断的首选方式,相较X线摄片具有更高的诊断敏感度和特异度,有助于提高COVID-19的检出率和诊断准确度。尽管COVID-19患者胸部CT改变具有一定的特征性,但与其他类型病毒性肺部感染征象仍存在一定的相似之处。因此,临床符合病毒感染CT表现的患者在诊断COVID-19时必须紧密结合其流行病学史和实验室检查。
参考文献:
1.国家卫健委.新型冠状病毒肺炎诊疗方案(试行第七版).2020-03-04.
2.武汉19-nCoV 肺炎影像学表现初探.武汉协和医院放射科.2020 -01 -23.
