2019年12月23日,83岁的患者张某以“胃痛”入院,没曾想,却诊断出肺癌。
事情是这样的,不久前,83岁的老张,感觉饭量变差,不想吃饭,也没有气力,并时时感到胃痛,女儿于是带他来到消化内科,想做个胃镜看看是怎么回事。
医生详细了解了病史,原来老张有30多年的抽烟史,并且有声音嘶哑、气短、咳嗽,而他所自诉的“胃痛”,其实是左胸、左背部都痛。
这引起了医生的重视,因为这与肺癌的症状十分相似,所以建议暂缓胃镜检查,建议先做个CT检查,结果不出所料,发现了疑似肺部肿瘤。

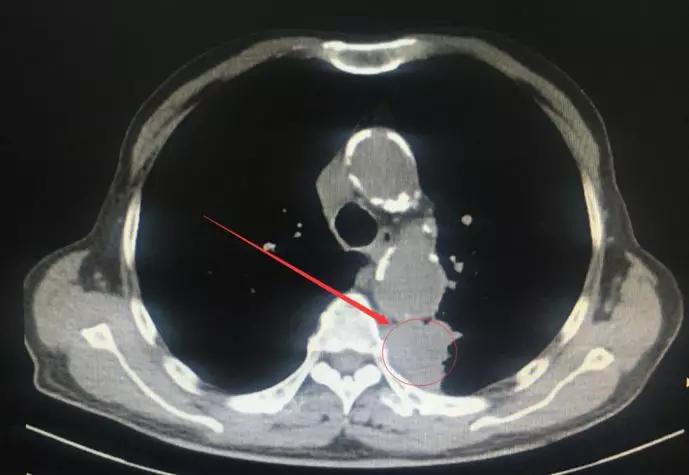
老张的肺部CT
后经穿刺病理,最终诊断为:低分化肺腺癌!

老张的病理报告
无独有偶,前几天,急诊室来了一位大伯,说晚上胃痛难忍,在家吃胃药无效。医生看他口唇青紫,给他详细检查后,建议先做心电图。
大伯不解:“胃痛做啥心电图?”然而,几分钟后,心电图报告单证实了医生的判断:急性下壁心肌梗死。
也就是说,若不是当时医生留了个心眼,及时抢救,大伯恐怕性命难保。
在临床上,很多患者自认为“胃痛”,其实并不是真的胃病,因为有其他疾病也会出现类似于胃痛的表现。
如果自认为是胃痛,吃一些治疗胃病的药,不但能掩盖真相,还延误治疗时机,导致不可逆的后果。
那么,真正的胃痛是怎么样的?都有哪些疾病会出现类似胃痛得症状呢?

胃痛,是怎么样的一种痛?
先来看我们的胃在身体里的解剖位置:
胃处于食管和十二指肠之间,上端与食管相连的入口称之为贲门,距门齿约40cm,下端与十二指肠相连称为幽门。
胃由左上斜向右下行走,分为胃底,胃体和幽门3个部分,各占约1/3大小。
胃周围与肝脏、胆囊、胰腺、结肠、脾脏、膈肌等策划脏器相邻。胃通过胃膈韧带、肝胃韧带、脾胃韧带、胃结肠韧带和胃胰韧带固定于上腹部。
真正的胃痛,主要表现在左上腹、剑突下,
疼痛性质可表现为隐痛、冷痛、灼痛,餐前痛、餐后痛、饿了痛,夜间痛等;
通过服用抑酸剂、胃动力制剂、粘膜保护剂或解痉剂能够缓解;
很重要的一点就是,一般急性胃痛往往有诱因,比如吃了不合适的食物(过凉、过量、过辣、不干净等);
慢性胃痛多有病史,并伴随、烧心、反酸、饱胀、嗳气、恶心等一些列消化道症状;
呈周期性发作,常与季节变化、饮食失调、精神因素或长期服用刺激*药性**物有关。

胃的解剖位置
这里有一张腹部分区图:

腹部分区
常见的“胃痛”主要在第2区-【腹上区】和第3区-【左季肋区】。
2区这一格是胃、十二指肠的所在,如果里疼的话,可能是胃、十二指肠溃疡,心绞痛以及各种类型的胃炎或消化不良引起的。
3区这里有胃、胰脏和脾脏,如果疼起来,排除各种胃病后,还可能是胰腺疾病。
这些疾病很容易误认为是胃痛!
1、急性心肌梗死
你可能会问:心脏病发作,不应该是胸痛吗?
胸痛的确是心肌梗死的标志性症状。但还有约1/3的患者症状不典型,表现为胃痛、牙痛等,甚至仅仅是头晕、乏力、恶心、呕吐,疼痛严重时伴有恶心呕吐,面色苍白、出冷汗,四肢厥冷,脉搏微弱。
一些中老年人突发胃脘部疼痛,一定要注意心脏疾病的发生,首先想到做心电图检查,排除心绞痛和心肌梗死。
当然反过来有一些反流性食管炎会出现胸骨后、剑突下灼痛,可放射到胸颈、肩胛等区,与心绞痛反射区域类似,而且随着年龄增长两种疾病会同时存在,更应该做好相应检查以明确病因。
提醒中老年朋友,尤其是已有高血压、冠心病、糖尿病史的人,当身上突发不明原因疼痛时,要特别警惕!
发生胸痛或有疑似心肌梗死症状时,记住,要第一时间拨打120,然后平卧,保持冷静,等待救援。

2、急性胰腺炎
初期也表现中上腹疼痛,持续性加剧,伴有恶心呕吐,有些病人疼痛放散到腰背部。
症状此时很像胃痛,但病人疼痛持续时间较长,并且有阵发性加剧趋势。
对这样的胃痛病人,要认真查体和检查,如急查血常规,血、尿淀粉酶,肝胆胰腺B超,腹部CT。尽早排除急性胰腺炎。
3、急性化脓性胆管炎
突出表现为剑突下或右上腹持续性疼痛,或伴有恶心呕吐,或高热寒战和黄疸。
病情进展十分迅速而凶险,治疗不及时往往有生命危险。
也有一些老年患者仅表现上腹部疼痛,恶心呕吐,无发热寒战,无黄疸等症状,易与胃痛混淆。

4、急性阑尾炎
发病初期也表现上腹部疼痛,或伴有恶心呕吐,类似胃痛。
随着病情的进展,几小时后疼痛逐渐转移固定于右下腹,阑尾压痛点(麦氏点,见下图)出现压痛,反跳痛或肌紧张。

麦氏点
5、肿瘤疼痛
肺癌、肝癌、胆囊癌、胃癌、肠癌都会出现腹部疼痛的现象;但大多有其他伴随症状,比如消瘦、贫血、黑便、气短乏力等等。
6、胆道蛔虫症
突发上腹部(剑突下)绞痛或钻顶样疼痛,呈反复发作,休止时犹如正常人。
仔细询问病史,发现病人可有吐蛔、便蛔史,做大便检查可查出蛔虫卵。
小结一下
一般来说,胃病所致的疼痛,常伴有胃部症状,如泛酸、嗳气、早饱、腹胀、食欲不振、上腹部灼热感或烧心,尤其是胃疼与进食相关,或进食后缓解,或进食后加重,这些都有可能提示胃出现了毛病。
可以在医生指导下服用抑酸剂(如奥美拉唑)、黏膜保护剂(如铝碳酸镁、硫糖铝、枸橼酸铋钾等)等,症状多可缓解。
如果服药后症状未见明显好转或反复发作,甚至出现进食困难、胸闷气短、黑便、发热、疼痛剧烈等症状,需尽快就医,做相关检查,以免延误治疗。
点击阅读往期相关文章:
小心,这几种“胃痛”,可不是“胃痛”,延误治疗会要命
肚子痛到底是哪里痛?一张图了解腹部器官
#健康科普排位赛# #健康出行节# #男性健康专家谈# @湖南医聊 @头条健康