事件:一个18岁的女孩,和奶奶一起去小诊所做牙齿,女孩本来是想做牙齿正畸,医生给了一个含糊的方案,在经过女孩奶奶同意后,女孩被磨了上下八颗牙齿。医生说女孩18岁年纪太大了,不能做矫正,只有磨了牙齿做假牙才能排齐牙齿。(事情经过都是当事人写的,医生没有发声)
前两天我在微信的牙医群看到这个事情,看完后,甚是惋惜,觉得有必要给大家说说牙齿不齐的处理方案,做矫正和做美容冠的利弊,希望以后大家看牙齿时都多个心眼,权衡利弊后再磨牙齿!
一、 先说说牙齿不齐的处理方案,首选方案是什么?应该做冠吗?
2000年中华口腔医学会正畸专业委员会调查,我国错颌畸形整体患病率67.82%,较上世纪60年代提升30%-40%。也就是说,10个中国人里面7个牙都不齐。
那错颌畸形,牙齿不齐应该怎么办?

牙齿不齐,能做矫正尽量做矫正,矫正是通过改变牙齿的位置来排齐牙齿,对牙齿损伤较小(片切,拔牙),矫正后的牙齿,后期保持器遵医嘱佩戴,智齿该拔的拔除,定期去复查一下,正畸效果大多可以维持一辈子。
做假牙冠大概率是用不到一辈子的!
在孩子十二三岁时,是做牙齿矫正的最佳年纪,这时的孩子,既没有高考和工作压力,又正值身体发育的高峰期,做矫正,牙齿移动速度快,恢复能力也很好。

(牙周健康的牙齿)
那成年人呢?成年人当然也可以做矫正,二三十岁,风险一般不大,但要评估自己的工作和正畸时间是否有冲突,在牙齿上粘金属托槽是否影响形象和对工作有没有影响。牙周风险一定要评估,尤其是中年或者老年正畸患者。

(牙周病患者的口内情况,牙龈牙槽骨萎缩,前牙松动外展)
小结:牙齿不齐,首选创伤最小,效果最持久的牙齿矫正,不适合牙齿矫正的患者,再考虑其他方式修复。
二、牙齿被磨小做烤瓷冠(全冠)意味着什么?为什么不建议做“跨江大桥”般的烤瓷联冠。
在口腔修复中,全冠修复占有重要的一席,牙齿缺损大,不适合直接充填修复者,或者缺失一颗牙齿,缺失牙前后基牙稳固等情况,都可以用全冠修复。

全冠有好几种:金属铸冠,金属烤瓷冠,全瓷冠。不管选哪种,做全冠,都需要把牙齿磨矮,磨瘦一圈。
注意,全冠这种修复方式,磨牙的过程是不可逆的,牙釉质不可再生,磨掉了就只能戴全冠了,不能再恢复牙齿原来的模样。
基牙健康,设计合理,口腔卫生好等多种有利因素下,全冠的使用寿命在10年—20年左右,若是基牙松动,或者备牙不合格(无肩台,锥形),或者口腔卫生差,全冠在使用5年左右就会出现问题。

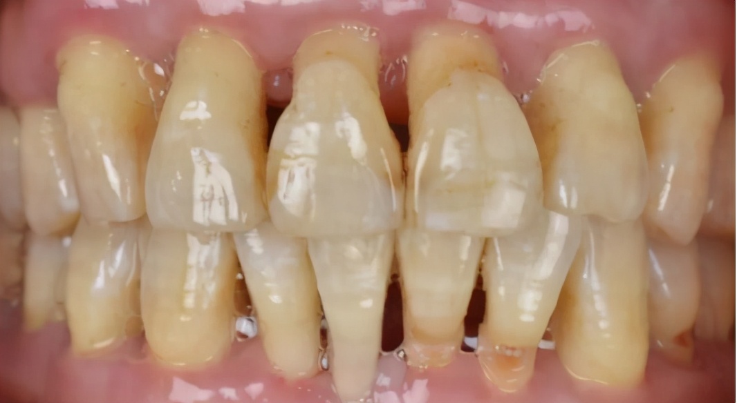
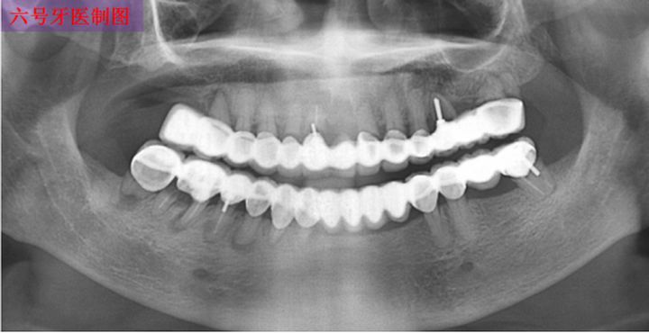
(上图为全口28颗烤瓷联冠,上下各14颗)
“跨江大桥”般的联冠,因为涉及基牙数目多,本身制作的难度就偏大,难度大意味着失败率高,为了寻找多颗牙齿之间的共同就位道,可能会出现过多的磨除基牙,进而导致牙齿敏感,意外露髓,丧失良好的固位形,失去肩台……

(下颌四个单位的联冠,红圈处基牙龋坏)
一损俱损,多颗基牙连在一起组成的联冠,一旦其中一颗牙齿出现了问题,那这一排烤瓷牙可能都会跟着遭殃,面临着被拆除的风险。
常见的单冠,和缺一颗牙齿使用的三联冠最常用 ,风险最小,四个及四个以上的联冠,慎重去做,大跨度的跨江联桥(5、6颗及以上)修复,要评估好风险,权衡利弊后再做决定,别轻易就让医生把牙齿磨了。
出现问题的全冠,若基牙稳固,可拆了重新做,若基牙已经被腐蚀掉了,可能需要治疗或者拔除基牙后再设计新的修复方案。

(如果牙齿缺损严重,做冠修复可以增加牙齿使用寿命)
既然全冠有诸多问题,那为什么医生还是建议患者做全冠?
那是因为,医生建议做全冠的牙齿,往往已经是坏得很严重的牙齿。比如牙髓炎,根管治疗,牙髓已经坏死后的牙齿,会慢慢变脆,一点一点碎掉,不做全冠,牙齿可能在使用半年一年后,就会因为咬硬物而碎掉,牙齿一旦咬碎了,可能就要面临拔除。
做了全冠,本来只能用一两年的坏牙,还可以苟且用个十年八年的,要是使用得当,用十年二十年也是有可能的。
所以做全冠的目的,是使残缺的牙齿,恢复牙齿的功能,延长牙齿的使用寿命。
小结:健康的牙齿,不建议做全冠,毕竟不能使用一辈子,如果做了全冠,以后后悔了,牙齿已经磨小了,那连后悔药都没得吃,而坏的比较严重的牙齿,比如做了根管治疗的牙齿,还是建议在治疗结束后,做修复体来加固牙齿,增加牙齿的使用寿命。
三、 既然牙齿不齐的牙齿更适合做矫正,那为什么美容冠仍然有市场
美容牙冠的存在,是因为有需求的存在,并不是所有牙齿不齐的人都有时间或者金钱去做牙齿矫正。例如很多前牙散在间隙的成年人,接受不了几万块的牙齿矫正方案,只舍得去小诊所花几千块做金属烤瓷冠关闭牙缝。

你说他们不知道牙齿矫正的方案更好?他们不知道金属烤瓷冠的弊病?大部分做全冠的人是知道的,但为什么还要退而求其次?那是因为没钱!
像小姑娘这个案例, 医生有义务告知患者各种口腔操作的利弊,尽量给出最佳方案,并结合患者的实际经济情况,酌情修改方案,尽量做到所有操作都是有利的,不伤害的。不应该为了赚钱,在简单沟通后就做了十几颗烤瓷牙,这种事情,用正常的思维都是不能理解的。
要是患者是老年人,都七老八十了,牙齿有缺失有松动,吃饭不便,这种情况下,如果做连冠可以改善患者余生的咀嚼功能,做了长桥连冠后还能用个十年八年,那值得去做,可小姑娘才二十岁左右,直接磨了主要的牙齿做全冠,即便医生技术好,能用一辈子吗?小姑娘三十岁,四十岁以后烤瓷联冠报废了怎么办?
四、做牙齿矫正需要注意什么?
说回矫正,做矫正一定要擦亮眼睛,找合格的正畸医生,专修矫正毕业的口腔医生,那肯定是没问题,但这种专修牙齿矫正的医生并不多(在口腔医生中的比例很小),更多的牙齿正畸医生,是由技术过硬的口腔全科医生扮演的。
即便不是专修正畸的口腔全科医生,在学习牙齿矫正技术后,经过多年的正畸临床经验积累,和不定期去参加各种正畸培训班,也是可以成长为一名合格的正畸医生的。
最怕的是那种对牙齿矫正一窍不通,淘宝上买了一套正畸教学光盘,都还没看完,就开始接正畸病人了牙医,边学边做…….
哪怕是这样的技术水平,也是有人做的,为什么啊?因为便宜!
医院矫正,一般一万多起步,正规小诊所,可能收费七八千,那种收割底层的,收费3000元就可以做全口矫正,1500半口,只做半口的牙齿矫正也给做…
正畸合格的标准:美观、功能、稳定。
牙齿排整齐,美观,上下牙咬合紧密,功能正常,牙齿稳定,不反弹(少量)。

(偷懒不打字了,直接截了个图)
很多不合格的矫正,往往就是只做到了第一步,只把牙齿排齐,剩下的就不管了,不管你覆合覆盖正不正常,不管你中线齐不齐,不管你咬合好不好,不管你牙龈萎缩不萎缩,也不管你矫正后会不会反弹......
小结:做矫正不能贪便宜,如果有认识的牙齿正畸医生,或者亲朋好友推荐的,那可以去了解一下,要是没有途径知道你眼前的牙医,是否是一个合格的矫正医生,那最好是去医院,或者正规的牙科诊所,那样被坑的几率会小很多。
很同情小姑娘的遭遇,愿悲剧不会重演,希望所有人都能学习一点基础的口腔知识防身,保护好自己的牙齿!