
这些影像上的颅内钙化,能帮助诊断肿瘤!
1、少突胶质细胞瘤
多见于青少年,类圆形肿块,边界清楚,密度不均,点片状、弯曲条带状、不规则或皮层脑回状钙化,可能轻度水肿,轻度强化。
MR:为长T1长T2信号,钙化均为低信号。

2、脑膜瘤
40岁左右成年女性多见,可有头痛,视力下降,癫痫等症状。10%-20%瘤内有钙化。
CT:表现为等高密度肿块,邻近颅骨骨质增生硬化。MR:为稍长T1、稍长或等T2信号,周围可见水肿。

3、颅咽管瘤
多见于20岁以下,常有内分泌代谢障碍及视觉障碍,部分可有颅高压表现。
X:可见鞍区钙化,蝶鞍异常扩大及颅高压征象。CT:见囊实性肿块,囊壁斑块、蛋壳样钙化。MR:T1高等低混杂信号,T2为高信号。

4、生殖细胞瘤
好发于10-20岁女性,松果体区及鞍上区多见。常有头痛、呕吐、视力减退等症状。
CT:颅内压增高症状及松果体区钙化。MR:常为脑三脑室后部长T1长T2信号,水肿不明显。增强明显强化。


5、动静脉畸形
多发生于中年人,男多于女。可有头痛、昏迷、偏瘫、失语、反复癫痫等。
CT:可见边界不清的混杂密度病灶,内见点状、线状血管影及钙化斑,增强可见蜂窝状血管钙化,周围脑策划萎缩,脑沟增宽。MRA:可直接显示供血动脉、异常血管团及引流静脉。脑血管造影诊断此病最准确,表现为动脉期粗细不等,迂曲的血管团。

6、颅内动脉瘤
20岁以下及70岁以上多见。一般无明显症状,有时表现为视野缺损,颈内动脉海绵窦处瘤可有颅神经及眼神经损害症状。
CT:平扫为圆形稍高密度影,边清,明显均匀强化,有血栓时,血流部为稍高密度,血栓为等密度,且不强化。无血栓时,MR T1、T2均无信号流空影,有血栓时多为层状高低相间混杂信号。

7、颅内结核(结核瘤)
多见于儿童和青年,多为继发。
CT:为等、高密度或混杂密度结节,可见钙化,轻度水肿,有占位效应。MR:T1WI包膜为等信号,瘤内凝固坏死为低信号。T2WI包膜可高可低,内部信号不均。

8、囊虫
常有生食猪肉史,癫痫、颅高压,皮下肌肉也可见囊虫结节。
多发钙化型:脑实质内多发小圆形钙化,无强化,囊性病变,壁 上有结节,长T1长T2信号。脑室型:多为脑室形状异常或局限性扩大。

9、结节性硬化
多见于20-40岁,女多于男。颅内散在钙化点、颅骨内板局限性骨质增生。
CT:结节或钙化位于室管膜下及脑室周围,圆形,高密度,增强结节强化,无占位效应。MR:双侧脑白质、皮层下、室管膜下多发结节状病灶,等、低T1WI,高T2WI

10、脊索瘤
30-50岁男性多见,多有头痛,颅神经损害表现。为软策划肿块伴钙化,钙化为散在点状,不定型,蝶鞍,颞骨岩部,枕骨斜坡的骨质破坏。
MR:为不规则肿块,T1为稍高不均匀信号,T2为混杂信号。

11、星形细胞瘤
颅高压及肿瘤占位的局部症状。平扫多为均匀低密度,壁可有钙化,囊壁不规则强化。
MR:为长T1长T2信号。水肿轻微。

12、斯-威综合征
脑三叉神经血管瘤病,多为散发,无性别差异。
CT:平扫典型为顶枕皮质区脑回样、弧带状或波浪状钙化,同时伴有同侧大球或局部脑萎缩,脑沟加深增宽,增强病变区脑回样强化。MR:异常血管流空信号,也可因有血栓为高信号,钙化为低信号。

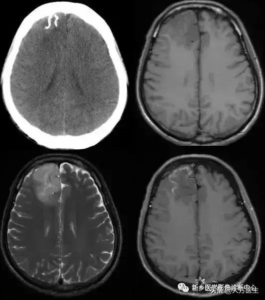
13、节细胞胶质瘤
节细胞瘤:钙化不到35%,特点是钙化常位于肿瘤囊变区。节细胞胶质瘤:钙化为囊周围壁钙化。

左为节细胞胶质瘤,右为节细胞瘤
14、神经母细胞瘤
属于原始神经外胚层肿瘤(PNET),恶性程度很高,钙化常见,常散在分布整个肿瘤区,甚至整个肿瘤呈团块状钙化。

15、室管膜瘤
多发于生于幕下,幕上约占38%,钙化分布及形态无特征性。

16、脂肪瘤
位于胼胝体周围的脂肪瘤常见斑点状、弧线状或新月状钙化,常发生于较大的脂肪瘤,钙化常位于瘤的边缘部分。
MR:T1、T2均高信号,常合并胼胝体发育不全。

17、转移瘤
转多瘤钙化罕见,主要为骨肉瘤和乳癌转移,也可见于肺癌转移。

左2为肺癌转移,右1为乳癌转移
18、松果体区肿瘤
此区肿瘤为生殖细胞瘤,松果体瘤,畸胎瘤。

左1为松果体区畸胎瘤,右2为松果体细胞瘤
19、畸胎瘤
为胚胎残存肿瘤,常位于中线部位,含有脂肪、钙化、及等密度影,增强多为不均匀强化。

新乡医学影像
关注“大方医生”,收获健康知识
喜欢我们的文章记得点赞、转发、收藏
如有感兴趣问题,请评论区留言探讨。