相信有不少朋友都在体检报告当中看到过“钙化”这个描述。
钙化可以说是无处不在,人体的很多重要器官里都可以检测出钙化,比如肝脏、肺、甲状腺、乳腺、前列腺等。而除了具体的器官以外,遍布全身的血管壁上也可以发现钙化。

那么,这些钙化到底是好、是坏?哪些地方的钙化需要特别警惕,而哪些地方的钙化一般又不用担心呢?
钙化---有“好”有“坏”
在我们的身体里,骨骼和牙齿是主要由钙质组成的器官。钙质定向地在骨骼和牙齿当中形成时,属于功能性的生理现象,被称为“生理性钙化”。

但是,当钙质沉积在本不应该含有固态钙的策划器官、血管等部位时,我们就称其为“病理性钙化”。在体检当中,一般是通过超声检查、X光片或CT扫描等医学影像学技术来发现这些钙化。

从钙化的发生机制上来看,一种是因为全身钙磷代谢失调,引起血液中钙的明显升高而使得钙沉积于正常策划内;还有一种则是由于局部策划当中发生了坏死或即将发生坏死而形成钙化。后者在临床上更加常见一些。

大家不要一听到坏死,就觉得好像特别严重。其实,大多数情况下,钙质在坏死的策划当中沉积会有助于让病变局限并且趋于稳定。
所以,很多时候,钙化其实是病变趋于稳定、属于良性的一种表现。
但是,也有一少部分钙化意味着恶性、提示“不好”。
因此,分辨出哪些钙化“问题不大”,而哪些钙化可能“潜藏风险”,就显得非常重要了!
常见 “良性”钙化
第一个要说的是肝脏内的钙化,这个在体检的肝脏超声检查里经常会遇到,有时候肺部CT扫描也可以看到一部分肝脏,也能发现这个问题。

大多数情况下,肝内钙化都是继发于一些其他的疾病,多形成于这些疾病的稳定期或愈合期。最多见的是与肝内胆管结石有关,还有比如寄生虫感染、慢性肝炎、肝内胆管炎、肝硬化等也可以引起。尽管,在极少数情况下,一些肝内的肿瘤也可以出现钙化表现,但是,这种情况往往都会伴随有肿瘤引起的一系列其他明显异常。

所以,大部分在体检当中发现的肝内钙化都属于良性,长期来看比较稳定,一般不需要药物治疗更不需要手术切除。只不过,当肝内钙化同时合并有胆管炎、明显的肝内胆管结石或者肝血管瘤时,还是建议要找肝胆科专科医生看一下的。

第二个要说的是肺内的钙化灶。这在肺部CT检查的结果当中比较多见,有不少朋友会误以为肺内钙化灶是肺结节甚至肺部肿瘤。但其实,它都不是!
肺内的钙化灶大多是由于以前在这个部位曾经发生过炎症或者损伤,在坏死策划自我修复的过程中逐渐形成的钙化。

在我国,肺内钙化最常见的原因是曾在这个部位发生过肺结核的感染。所以,有些医生看到肺钙化的表现时会问一下:“以前有没有得过肺结核?”当然,除了肺结核以外,肺炎等其他因素也有可能引起肺内钙化。

在大部分情况下,肺内钙化灶属于良性病变,不需要特殊的治疗,定期观察即可。但是,如果肺部CT结果提示,肺内钙化存在于0.8cm以上的肺结节里或在明显的肺部肿块当中,那么,就一定要找胸外科专科医生看一看了。

除了肺策划里可以看到钙化以外,还有一个地方也经常可以看到钙化,这就是肺门的淋巴结。肺门淋巴结钙化的意义其实与肺策划钙化相似,一般也是结核感染或炎症后修复的一种表现,并不用过于担心。

第三个要说的是前列腺钙化,这在中老年男性的前列腺超声检查中很常见。前列腺钙化往往与慢性前列腺炎以及前列腺退行性变化等有关。尽管在一部分前列腺肿瘤当中也可以看到钙化,但钙化并非前列腺癌的特征性表现。

前列腺钙化一般也不需要特殊的治疗,当其同时合并有前列腺增生或慢性前列腺炎时,主要通过药物对症治疗。但是,有研究认为,前列腺钙化是慢性前列腺炎反复发作的一个影响因素,也可能是前列腺结石的前兆。
可能提示“恶性”的钙化
第一个要说的有恶性风险的是甲状腺里的钙化。在甲状腺疾病当中,无论是良性还是恶性的,只要能够影响甲状腺细胞的代谢状态,就都有可能引发钙化。因此,甲状腺癌、甲状腺腺瘤、结节性甲状腺肿以及桥本氏甲状腺炎等疾病都有可能引起甲状腺钙化。

甲状腺钙化常与甲状腺结节一起出现,尽管大部分的甲状腺结节都是良性的,不需要处理;但是,存在钙化的甲状腺结节则务必要引起重视,需要积极处理!
这是因为,当甲状腺结节伴随有一些特征性钙化表现时,会高度提示结节可能为恶性。比方说,微小的、针状、沙粒样钙化,常常提示恶性概率很大;而在粗大钙化以及环状钙化里,也有不低的恶性概率。

因此,当体检当中出现甲状腺钙化时,务必要引起重视,需要进一步到甲状腺外科就诊,必要时甚至可能需要穿刺检查。

第二个要说的存在恶性风险的是乳腺钙化。目前,对乳腺钙化尤其是微小钙化,识别能力最强的检查方法是乳腺X线摄影,而不是乳腺超声。

所以,大家不要觉得体检做了乳腺超声就可以了,对于年龄超过40岁、乳腺癌风险较高的女性,最好是能够把乳腺X线摄影和乳腺超声都做一下,这样才不容易漏掉一些早期的乳腺癌征象。

乳腺的钙化征象是存在良恶性之分的,一般认为,分散的、粗大的乳腺钙化往往提示良性概率大,可能是乳腺增生、乳腺炎或乳腺导管扩张等病因引起的;而当乳腺中发现密集的、细小的钙化灶,尤其是单位面积内存在多于7~8个钙化点时,需要高度警惕乳腺癌的风险。

动脉钙化=动脉硬化
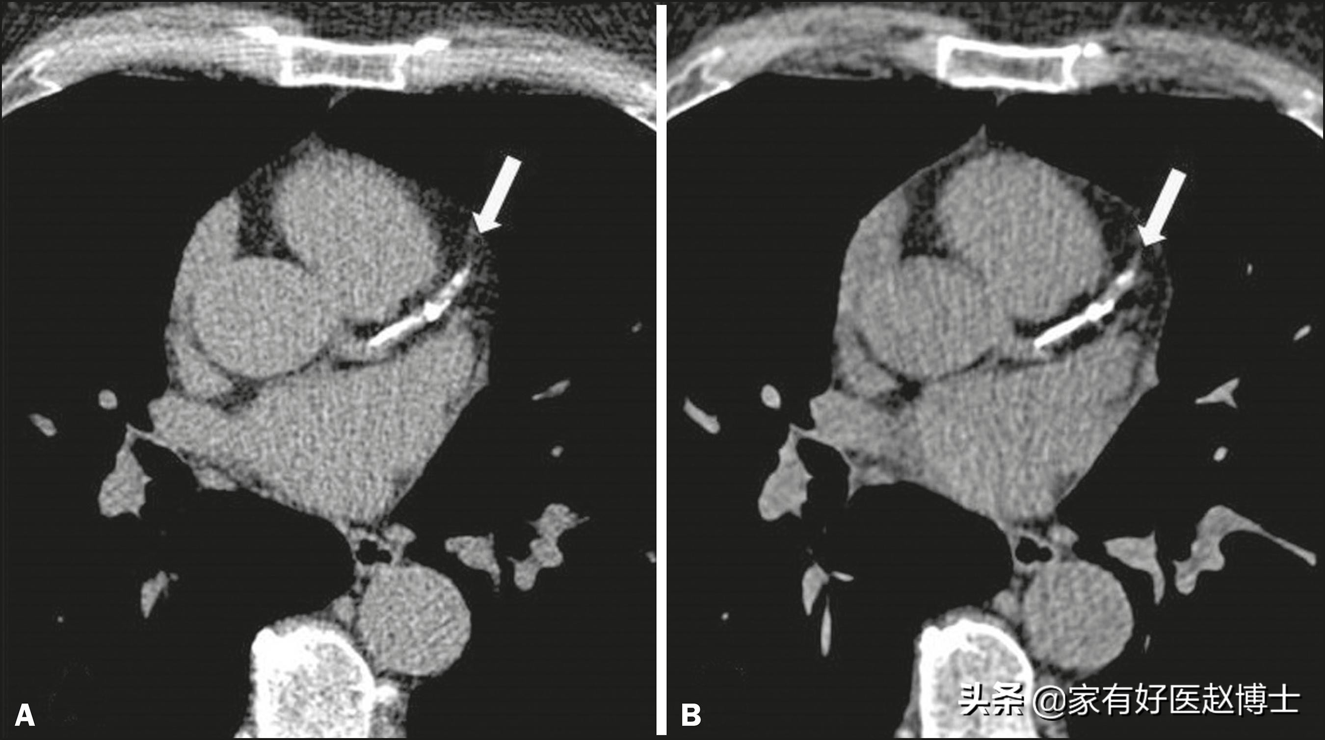
前面我们说到的,主要是一些重要器官当中出现的钙化,而还有一类钙化也在体检中常常遇到,这就是血管的钙化。有时候,肺部CT扫描可以看到主动脉或冠状动脉上的钙化,而颈动脉超声检查则可以识别出颈动脉内膜中的钙化。

动脉钙化与器官中的钙化不同,它并不会提示癌症风险,但是,它却常常意味着另一项足以致命的危险,这就是动脉硬化。大家需要记住很重要的一点,这就是:存在动脉钙化就等于存在动脉硬化。

因此,如果在体检中发现了动脉钙化,请仔细回忆一下:自己的血压、血糖、血脂等重要心血管指标是否都正常,如果存在异常,那应该尽早开始进行干预和治疗;哪怕这些指标都正常,那说明年龄和衰老这项单一因素已经导致了心血管系统的退化,要充分意识到自己正在面临不断增大的心血管风险。

最后,总结一下,肝脏、肺以及前列腺里的钙化,大多数情况下属于良性,不用过于担心;但甲状腺结节钙化和某些特征性的乳腺钙化则提示恶性风险升高,需要引起充分重视;动脉钙化别小瞧,这代表血管已经出现硬化了。