半月板的解剖




半月板的正常影像学表现

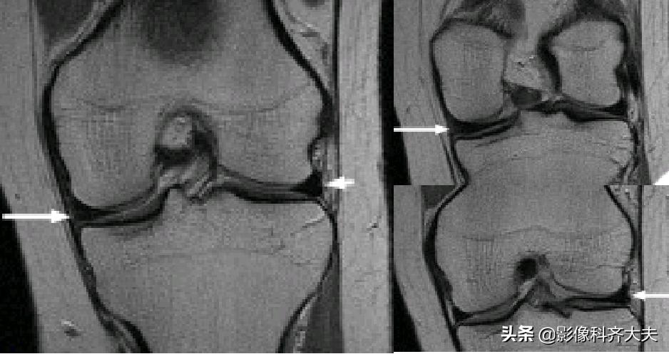
正常半月板CT扫描及重建图像

正常半月板MRI冠状位图像

正常半月板MRI矢状位图像
半月板损伤的磁共振诊断:
MRI诊断半月板撕裂准确度达90%,稍低于准确度达95%的关节镜。
急性外伤性撕裂 :
- 运动损伤所致,多见于青年人
- 损伤机理与关节突然旋转和屈伸运动密切相关
- 股骨骤然旋转使半月板移向中心导致边缘撕裂,猛烈屈伸使半月板后角及体部挤压于胫股关节面间而导致撕裂
慢性退变性撕裂 :
- 与老龄化和反复慢性损伤有关,策划学表现为粘液样变性,包括糖胺聚糖基质增加、软骨细胞坏死、原纤维分离和微小囊肿形成等
- 随着病程进展,纤维软骨分离断裂,沿胶原纤维的方向形成水平状的离断层,当其延伸到关节面时即形成半月板撕裂
- 退变的发生顺序是:内侧半月板的后角和体部、外侧半月板的前角、体部和后角、内侧半月板的前角。内侧半月板后角的下关节面比其他部位更容易发生退变和退变性撕裂
MRI成像基础:半月板变性和撕裂使纤维软骨内的游离氢质子增加以及关节液渗入,在MRI上表现为半月板内出现高信号
半月板急性损伤


半月板损伤的MRI分级(0-III级)和形态学特征
О级:为正常半月板,表现为均匀低信号且形态规则

正常外侧半月板形态、信号均匀(0级)
Ⅰ级:不与半月板关节面相接触的灶性的椭圆或球形高信号。病理:半月板粘液样变性、软骨细胞缺乏或出现少细胞区

Ⅰ级变性:球状
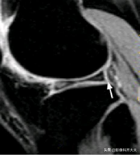
Ⅱ级:表现为水平的、线形的半月板内高信号,可延伸至半月板的关节囊缘,但未达到半月板的关节面缘。病理:粘液变性范围较Ⅰ级大,显微镜下软骨基质的的多细胞区内可见裂隙和胶原碎片




Ⅲ级:半月板内高信号达一个或两个关节面。Ⅲ级A型:线形高信号达关节面。Ⅲ级B型:不规则高信号达关节面。表示一个确定撕裂。可为部分性或全层撕裂。常伴有症状。病理上可见纤维软骨断裂伴或不伴肉眼可见的表面蔓延 。

水平方向撕裂

垂直方向撕裂

垂直方向撕裂

星芒状撕裂

星芒状撕裂

瓣状撕裂

桶柄状撕裂示意图


半月板撕裂后移位
容易误诊为半月板损伤的正常解剖结构
膝横韧带:





腘肌腱腱鞘:


后股板韧带:

关节内气体伪影:

内侧半月板后角上隐窝:
