肩锁关节脱位中医诊疗方案
一、诊断
(一)疾病诊断
1.中医诊断标准
参照 1994 年国家中医药管理局发布的中华人民共和国行业标准《中医病症诊断疗效标准》(ZY/T001.9—94)及《中西医结合骨伤科学》(科学出版社,2008 年)。
(1)有外伤史。
(2)肩部肿胀,疼痛,活动受限,特别是外展活动受限。
(3)锁骨外端隆起压痛,向下按之可回复,松手后又隆起。
(4)X 线摄片检查可明确诊断。
2.西医诊断标准
参照《临床诊疗指南——骨科分册》 中华医学会编著,人民卫生出版社,2009 年)。
(1)有外伤史。
(2)局部肿胀、压痛,外展及上举时均困难,肩关节处有松动感。
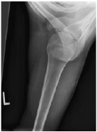
(3)X 线片可明确移位情况,同时摄双侧肩锁关节 Zanca 位片(球管射线向上成角10°-15°前后位)对比,可发现患侧肩锁外端与肩峰间距离较健侧增大;有半脱位和全脱位之分(锁骨外侧端与肩端完全分离)。必要时拍应力位片,即患者两手分别提重物约 2.5 公斤物件后拍肩锁关节正位片。

图1
图 1 . Zanca 位片 AC肩锁关节Zanca 位片是在上肢负重与不负重情况下,投射角度与肩锁关节呈10~15º夹角,有助于发现肩锁关节部位小的骨折或者脱位。

图2
图 2. 腋位片 AC肩锁关节腋位片可以证实锁骨远端相对于肩峰向後移位。
(Figure 1-2 From:Julie Y. Bishop, Christopher Kaeding. Treatment of the acute traumatic acromioclavicular separation. Sports med arthrosc rev . 2006;14( 4):237-245.)
(二)疾病分期
1.新鲜脱位:脱位 2 周以内。
2.陈旧脱位:脱位超过 2 周以上。
(三)病类诊断
Rockwood 分类:
I 级:肩锁韧带损伤,喙锁韧带完整,肩锁关节保持稳定;
Ⅱ级:肩锁韧带断裂,喙锁韧带损伤,常引起半脱位;
Ⅲ级:肩锁关节囊及喙锁韧带均完全断裂,喙锁间隙较正常增加 25-100% ;
Ⅳ级:为Ⅲ级伴喙锁韧带从锁骨撕脱,同时伴有锁骨远端向后移位进入或穿出斜方肌;
V 级:为Ⅲ级伴锁骨自肩胛骨喙锁间隙垂直方向移位较正常增加 100-300% ,锁骨位于皮下;
VI 级:为Ⅲ级伴锁骨外侧端向下脱位,位于喙突下,此类型较为少见。(见图三)

(图三引自:Rockwood CA Jr.Disorders of the acromioclavicular joint.In:Rockwood CA Jr.Matsen FA Ⅲ.eds.The Shoulder. Philadelphia:Sounders WB,1985.413-476.)
肩锁关节脱位同时合并锁骨远端骨折则按 Rockwood 分类:
I 型:轻度移位(韧带间的);
II 型:骨折中度移位,内侧到喙锁韧带:
A.锥状韧带和斜方韧带附着
B.锥状韧带断裂,斜方韧带附着
III 型:关节面骨折。
(引自:Rockwood CA, Green DP, Bucholz RW, et al. Fractures in Adult.4nd Ed. Philadelphia: lippincott-Raven publishers, 1996)
(四)证侯诊断
1.血瘀气滞证:局部肿胀,疼痛,活动受限。舌质暗,或有瘀斑,舌苔薄白或薄黄,脉弦。
2.气血不和证:局部疼痛剧烈,痛有定处,活动明显受限,痛处拒按。舌质暗紫,或有瘀斑,舌苔薄白或薄黄,脉沉涩或脉弦。
3.肝肾不足证:痛缠绵日久,反复发作,包括肝肾阴虚及肝肾阳虚证。阴虚证症见:心烦失眠,口苦咽干,舌红少津,脉弦细而数。阳虚证症见:四肢不温,形寒畏冷,筋脉拘挛。舌质淡胖,脉沉细无力。
二、治疗方法
(一)手法整复
1.适应症
(1)RockwoodⅠ、Ⅱ患者;
(2)大部分Ⅲ型患者;
(3)Rockwood V 型拒绝手术患者。
2.具体手法
患者取坐位,患侧肘关节屈曲 90°,术者一手将肘关节向上托,另一手将锁骨外侧端向下压,肩锁关节即可得到复位。对于复位困难者,将上肢外展过举抬高。
(二)外固定
1.适应症
(1)RockwoodⅠ、Ⅱ患者;
(2)大部分Ⅲ型患者;
(3)Rockwood V 型拒绝手术,签署知情同意要求保守治疗的患者。
2.各种外固定方法
可根据实际情况选择使用:
(1)胶布固定法:用宽胶布沿上臂纵轴,缠住锁骨远端与肘关节。前臂以颈腕带悬吊胸前。如胶布带松动,应随时加固粘绑,以促进损伤关节囊及韧带的修复。
(2)石膏围腰及压迫带固定法:患者直立位,两上肢高举,先上石膏围腰,上缘平乳头平面,下缘至髂前上棘稍下部,围腰前后各装一腰带铁扣,待石膏凝固干透后,用厚毡 1 块置于肩上锁骨外端隆起部(不是肩峰部),另用一宽 3~5CM 皮带或帆布带,通过患肩所放置的厚毡上,将带之两端系于石膏腰围前后的铁扣上,适当用力拉紧,使分离之锁骨外端与肩峰接近同一平面,并不强调解剖复位,拍摄 X 线片无加重或改善后,以三角巾将患肢悬吊于胸前。

图四 胶布固定法
(3)肩锁固定带固定法
首先将月牙形锁骨垫3放置在肩锁骨外端,然后将受伤侧手臂从肩垫2下部的臂套22套入,将肩垫2的上部放在月牙形锁骨垫3上,月牙形锁骨垫3通过其外表面的定位魔术贴31固定在肩垫2内侧全软毡面层23上,将软性带21的外端绕过人体的另一侧后,再穿过肩垫2前部外表面上的扣环翻转搭扣固定牢固;然后将腋带4绕过腋下固定在肩垫2外围,最后将手放入手吊兜1内,手肘固定吊带15的自由穿过第二连接环12和第三连接环14,利用手肘固定吊带15上的魔术带扣翻转固定,至此固定完成。

图5 多功能肩锁固定带示意图
(4)其他外固定法
石膏条固定法、Zero 位外展支架固定法、双“∞”字/斜“∞”字绷带固定法、弹性绷带加垫片固定法、各种加压背带及支具、各式肩肘腋带固定法,如 Kenny-Howard带等。

图六 Kenny-Howard 带
(三)康复训练
固定后,制动时间依据脱位分型而不同。Rockwood I~III 型可以在损伤后 1 周,在保护下(患者用对侧手下压锁骨远端的情况下)开始小幅度的钟摆样运动和被动外旋锻炼并持续 2~3 周,视情决定颈腕吊带制动时间。一般 Rockwood I~II 型颈腕带悬吊2~3 周;Rockwood III 型颈腕带悬吊 4~5 周;Rockwood V 型患者,颈腕吊带制动 6周左右,期间医生指导功能活动。复诊时骨科医生应在保护性下压锁骨远端时适当活动肩关节,有利于预防肩关节粘连。解除固定后可以予热敷等减轻局部疼痛与不适。当活动度达到正常侧的 80%~85%。术后 4~6 个月时允许恢复体育运动。
(四)辨证选择口服中药汤剂、中成药
1.早期
治法:活血化瘀、消肿止痛。
推荐方药:血府逐瘀汤加减。当归、生地黄、牛膝、红花、桃仁、川芎、枳壳、赤芍、柴胡、桔梗、甘草等。
中成药:伤科接骨片等。
2.中期
治法:舒筋活血、强壮筋骨。
推荐方药:壮筋养血汤加减。当归、川芎、白芷、续断、红花、生地、牛膝、牡丹皮、杜仲等。
中成药:七厘胶囊等。
3.晚期
治法:滋补肝肾、舒筋活络。
推荐方药:六味地黄汤加减。熟地、山萸肉、山药、当归、茯苓、续断、赤芍等。
中成药:养血荣筋丸等。
(五)其他疗法
在急性期可根据疼痛程度,选择性使用塞来昔布、双氯芬酸、盐酸曲马多等对症治疗。外用药物可选用双氯芬酸乳胶剂及各类接骨续筋药膏等,以促进损伤策划修复,但是应注意局部皮肤过敏反应。恢复期可配合按摩和药物熏洗。
(六)手术治疗
1.适应症:Rockwood Ⅳ、Ⅴ、Ⅵ型患者;
2.RockwoodⅢ型损伤:(1)对美观要求较高或者肩部皮肤菲薄;(2)从事反复提举重物的工种;(3)工作时肩关节长时间处于前屈>90º位;RockwoodⅢ型经保守治疗失败(肩锁关节放射影像学上有退行性改变,局部仍有较多疼痛)患者。
3.手术治疗的方法:
肩锁间固定及韧带修复或重建(克氏针、张力带、螺纹针、锁骨钩钢板、自体、异体或人工韧带);喙锁间固定及韧带修复或重建(Bosworth 螺钉韧带重建、Endobutton,缝合锚钉等);肌肉移位动力重建;锁骨外端切除;肩锁关节融合。
4.软策划修复的保护:一般术后应用颈腕吊带制动 3~6 周,可减少早期的失败。为了使软策划修复,有时使用坚强的稳定方法。软策划修复完成就应去除钢板,一般术后 8~12 周时间。移除太早有重新撕脱及再脱位的风险,移除太晚则导致关节僵硬或内植物断裂。
(七)健康指导
1.生活起居:起居有时,寒温有节。对患肢宜保暖,注意观察患肢血运、感觉及手指活动,特别是防止出现外固定压迫腋下神经、血管及局部压疮的发生。根据病情及体力状况,可选择适当的运动,如散步等。
2.饮食调理:饮食宜清淡、易消化,忌生冷油腻,鱼腥发物。
3.情志调摄:保持心情舒畅,避免急躁、悲观等不良情绪影响。
三、疗效评价
(一)评价标准
参照 Karlsson 标准。
1.不痛,有正常肌力,肩可自由活动,X 线片示肩锁关节解剖复位,或半脱位其间隙小于 5mm;
2.满意,病人诉微痛、功能受限,肌力中度,肩活动范围在 90°~180°,X 线片示肩锁关节间隙在 5~10mm;
3.差:疼痛并在夜间加剧,肌力不佳,肩活动在任何方向皆小于 90°,X 线片示肩锁关节仍脱位。
(二)评价方法
按照 Karlsson 标准,对患者局部疼痛、功能、肌力和 X 线片观察结果进行评价。
声明:内容来源于国家中医药管理局
编辑:小小
审核:虫哥