几乎人人都有牙周炎,只不过轻重程度不一样而已。
上期文章中,我们提到 预防牙周炎 的方法。
也留了一个“坑”—— 难搞定的牙周炎,到底怎么治?
今天就来“填坑”,唠唠牙周炎怎么治!
洗牙,有用吗
如果你去过口腔医院的牙周科,十有八九会听到这句话—— 先去洗个牙吧 。
搞得患者很疑惑:“还没治疗呢?怎么就让我洗牙?”

其实, 洗牙不仅是预防口腔疾病的手段,也是牙周治疗的基础 。
为什么?
因为洗牙能去除牙结石,给口腔来一次“大扫除”。
否则在 “脏兮兮”的环境不仅会干扰治疗,患者本身也有感染等风险 。

关于洗牙的知识,前面专门出过一篇文章(点击“ 查看 ”,直接跳转),建议去看一下,在此不赘述了。
简单来说,洗牙就是清除牙齿表面牙结石与菌斑。
并不是只靠水洗,而是用超声波将牙齿表面的结石、牙菌斑震碎并脱离牙面。
震碎牙结石的 超声波安全舒适, 冲掉结石的 水流大小可控,最大程度保证洗牙的安全与舒适,完全不用担心会对牙齿导致伤害。

(肉眼可见的干净)
总之, 如果只是牙龈红肿出血,颜色呈暗红色,牙龈萎缩等 轻度牙周炎 ,普通洁牙就能解决问题了 。
但发展到中、重度牙周炎,普通洁牙是远远不够的。
怎么办呢?接着往下看。
深刮,有什么用?
普通洁牙对牙周炎有一定缓解作用,但有些人洗完牙还是有红肿的情况。
比如这个案例:

洗牙一周后,牙龈还是存在红肿发炎的情况,刷牙也会流血,难道白洗了吗?并不是。
其实这是 牙龈下面的牙结石在搞破坏 !
什么?牙龈底下还有牙结石?

有的人牙齿很白很干净,看不到牙结石,该有的刷牙出血、牙龈红肿等牙周炎症状一样不少,八成是牙龈下面有牙结石。
但问题来了, 牙结石怎么会跑到牙龈下面去呢?
这就要说说“神奇”的牙龈了。
别看牙龈和牙齿紧紧贴在一起,其实它们之间是有距离的,甚至可以剥离——
(我相信已经有人张开嘴巴实际操作一下了哈哈哈哈哈)

不过要让大家失望了。
牙龈和牙齿之间的缝隙非常小,常力是很难剥开的。
但微小的牙菌斑“无孔不入”,可以顺着缝隙潜入牙龈下面的牙根部分, 慢慢形成牙结石 。
普通洁牙只能去除牙齿表面的牙结石和菌斑,那些藏在牙龈底下的牙结石只能通过“ 龈下刮治术 ”去除。
也就是我们常说的“深刮”。
深刮有用吗?直接看效果:

还是刚刚那个案例。女孩在深刮一周后,牙龈红肿消退,脓包消失,炎症也没了, 恢复到健康状态, 效果还是很明显的。
许多中重度牙周炎的治疗,都是要深刮治疗的。
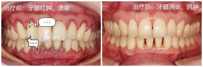
比如我院 牙周科夏娇娇医生 的这则优秀案例,有效控制了炎症——

本来 红肿溃脓的牙龈,恢复到了肉眼可见的健康 ;牙结石也清除了, 整个口腔看起来干净整洁;出血情况、口腔异味等问题也随之消失了。
要不是同框,真看不出是同一个人的口腔环境!

那“深刮”到底是啥?怎么这么神奇?
其实就是 将洁牙器械伸到牙龈底下,将牙结石“刮”出来 的方法。
听起来是不是很疼?
别担心,龈下刮治术是要打麻药后才能进行的。
最大程度减轻痛苦,非常体贴哒 ~

到此,稍稍总结一下:
普通洁牙术+龈下刮治术=解决大部分轻、中度牙周炎。
但当牙周炎发展到重度,牙周环境被深度破坏时,光靠洁牙、龈下刮治也无法控制炎症的蔓延,就要考虑把牙龈翻开清洁再复位等手术来治疗了。
由于接下来的治疗复杂且血腥且很专业,我们就简单说一下:
部分牙周炎发展到后期,需要切开牙龈,将感染坏死的策划消毒、切除,再缝合起来,等待新策划长出。
说白了,就是“ 去除一部分坏的策划,重新生长 ”的过程,难度还是很大的。
所以希望大家平时多爱护口腔,不要达到这一程度。
因为这个 过程复杂,治疗难度增大,费用也随之增加,人更遭罪 。

治不了,只能拔牙吗
治疗,有治愈的情况,也有无能为力的时候。
当牙周炎发展到晚后期,牙齿出现明显松动时,差不多就到了拔牙的地步。
注意! 不是所有的牙齿松动都必须拔牙!
只有发展到2、3度松动时,才有拔牙的必要,1度时只要积极配合治疗,是可以恢复的。

这里教大家一个判断自己牙齿松动程度的方法——
请 捏住松动的牙齿,轻轻摇动 :
只出现“ 前后 ”松动,则代表是1度松动;
只出现“ 前后 ”+“ 左右 ”松动,则代表是2度松动;
出现“ 前后 ”+“ 左右 ”+“ 上下 ”松动,基本上是3度松动了;
当然,以上是简单的自测方法, 具体要根据医生的专业判断 哦!
如果牙齿松动到无法治疗,建议拔除,为后面修复工作做准备了。

患者是典型的重度牙周炎,治疗前 牙龈红肿溃烂严重,轻轻按压牙龈边缘,就有黄白色脓液流出 ,情况非常糟糕!
在经过夏娇娇医生检查后,判定左门牙没有“拯救”的必要,建议拔除。
其他按照上面讲解的治疗方案逐步进行,最终口腔恢复健康状态。
牙齿不是头发也不是指甲,没了还能再长,牙齿掉了可就真的没了。
千万不要小瞧牙周炎,拖着拖着,牙齿就危险了。
还是那句话,牙周炎无法杜绝,只能靠日常生活中一点一滴保护牙齿做起。
呵护口腔卫生不是件难事,勤刷牙、饭后漱口、戒烟等好习惯大家也都知道。
但 最难是坚持做下去 。
当然,也有人总觉得 刷牙刷不干净 ,刷完还是有异味等,可能是你没有掌握正确刷牙方式和洁牙方式哦!
更多正确而专业的护牙方式,关注我,我们会一一推送哒~
