来源:好医术
腰部疾病在现代属于很常见的疾病,为了确诊病情,腰部CT成为常用且比较安全可靠的检查手段。准确判读检查结果是每位医生必备技能,但很多医生对此并不擅长,或者是对于一些不常见、不熟练的病情不知如何诊断。今天给大家分享一例漏诊的腰部CT,内容经典,值得学习借鉴!
先来看病例基本信息:
病史:女,68岁,腰部疼痛近2月余,进行性加重,入院前后无明显外伤史,既往胸12椎体陈旧性压缩性骨折,无不良嗜好,血压偏高,四肢肌力正常,活动自如,直腿抬高试验轻度阳性。
骨科临床医师初步诊断为腰椎间盘突出症,遂行腰椎CT扫描检查。
CT图像,腰椎常规采用序列扫描,腰椎体2层,腰间盘4层,层厚2.5mm,一般扫描范围包括腰2--骶1椎体及所属间盘。

腰椎曲度稍变直, 骨质轻度增生,胸12椎体陈旧压缩性骨折。

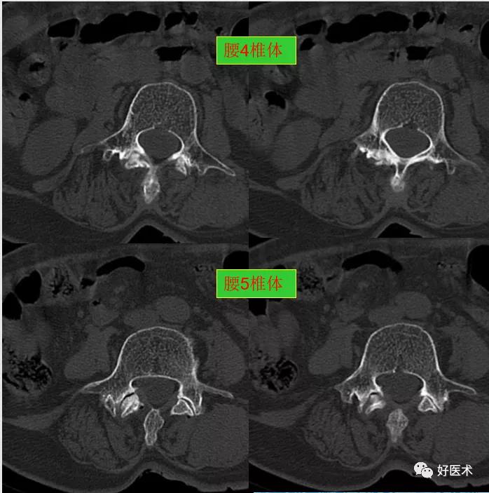
腰4、5椎体及附件骨质未见著变。

腰2-3间盘未见著变。

腰3-4间盘膨隆。

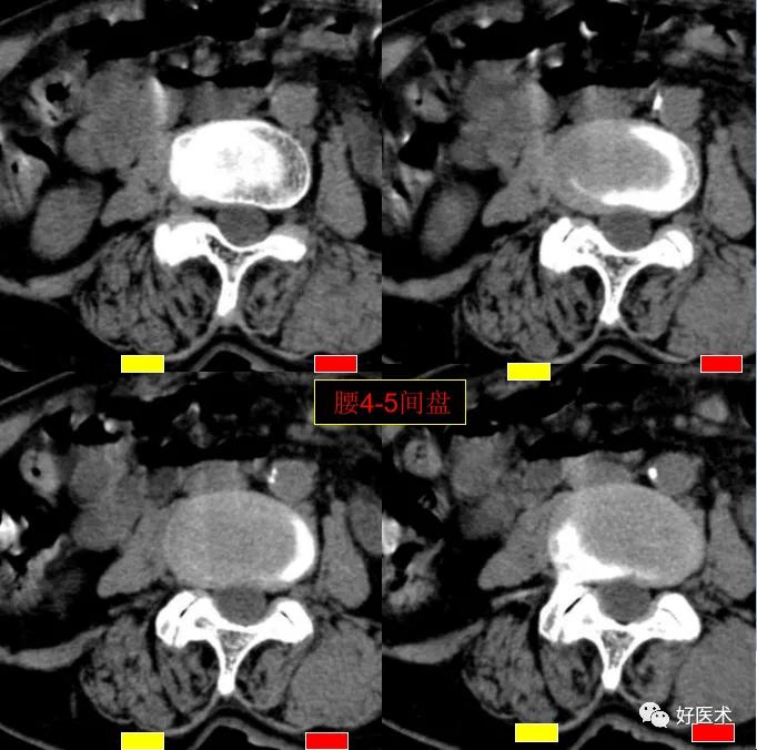
腰4-5间盘膨隆, 双侧椎小关节积气

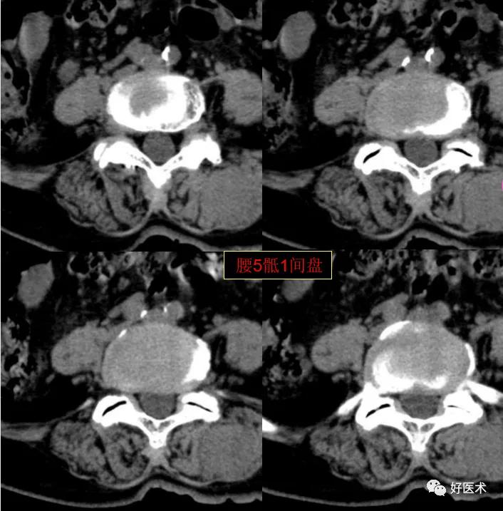
腰5骶1间盘膨隆,双侧椎小关节积气
CT报告给出的印象诊断是:
1.腰椎骨质轻度增生。
2.胸12椎体陈旧性压缩性骨折。
3.腰3-4、4-5、腰5骶1间盘膨隆、
4.腰4-5、腰5骶1间盘水平双侧椎小关节积气。
貌似完美的诊断,腰椎体骨质的增生,间盘的膨隆,椎小关节突退变, 支持临床腰疼的表现。如果这样认为,那就大错特错了!
接着往下看,重头戏在后面!!




发现了什么?左侧竖脊肌较右侧明显肿胀饱满, 肌间脂肪间隙消失!!
可以想到的原因:
- 外伤。
- 感染(普通或特异性炎症)。
- 肿瘤(原发、继发)。
1.外伤:
患者没有明确的外伤史,即使有外伤,这么明显的肿胀,多合并肌内血肿、腰椎体及附件的骨折。
2.感染:
患者无发热、无全身感染症状,且感染多由局部皮肤破损所致,即使特异性感染如结核,侵犯单侧肌肉策划少见,且多伴有全身结核中毒症状。
3.肿瘤:
原发肿瘤较罕见,横纹肌肉瘤,多发生于儿童,且部位多见于四肢骨骼肌。恶性纤维策划细胞瘤,多见于成人, 以老年人偏多,发病年龄符合,但大部分局限生长,多伴有出血、坏死粘液变性,可有假包膜,多见于成人肢体的深部软策划。
继发肿瘤较少见,多继发于邻近椎体的原发恶性骨肿瘤或椎体转移性肿瘤的蔓延侵及。
到底是什么魔鬼???


终于知道了是什么鬼在作乱, 找到了左侧竖脊肌肿胀的元凶:肺癌转移。
漏诊原因:
1.观察出现盲区:腰椎检查仅侧重于观察腰椎体及附件骨质、 腰椎间盘、椎管情况,忽略了对周边肌肉策划的观察,这是漏诊的根本原因。
2.扫描及成像方法固有不足:序列分段扫描及分段成像方式, 使病灶连续性中断,椎体骨窗与间盘软策划窗交替成像 ,单一轴位观察,病灶无连续性且缺乏立体感。
3.临床思维的局限:对老年人腰痛原因认识不足,仅限于腰椎退变、骨折、间盘膨隆突出、椎管狭窄等,对腰部原发肿瘤及继发肿瘤认识不足,过度依赖临床医师提供的信息。恶性肿瘤肌肉内转移相对少见,对此缺乏认识。
启示:
- 阅片时要细致,严格按照腰椎骨质、间盘、椎管内、软策划的顺序,从上而下、两侧对比观察,多一点耐心,细节决定成败。
- 改进CT扫描及成像方式,全程采用螺旋扫描,后期三维重建,骨窗及间盘软策划窗分开重建,矢状、冠状、轴位分别成像观察,直观立体,不留盲区。
- 加强对老年人腰部疼痛原因的全面认识,用临床体征指导影像, 用影像改变解释临床。
- 腰部转移性肿瘤,成骨性及混合型转移,以前列腺癌及乳腺癌多见;溶骨性转移以肺癌多见,多为血行转移,以侵犯椎体及附件骨质为主,进而可波及邻近软策划,而以软策划转移侵犯为首要表现,腰椎体及附件骨质变化不明显的情况,临床及影像上均相对少见。
附腰椎CT的正确读片方法 :
1.腰椎正常形态:
- L1-2至L4-5的椎间盘形态大致相似,呈肾形,后缘年轻人稍凹,凹陷部与后纵韧带走行一致,随着年龄的增长,后缘可变得平直;
- 正常L5-S1椎间盘的后缘较平直,并可轻微膨出;
- 椎间盘由髓核和纤维环组成,略高于软策划密度影,CT值为80~120HU,CT不能区分髓核和纤维环;
- 椎间孔前为椎体,后为椎小关节,上下为椎弓根,内与侧隐窝相连,有脊神经根通过;
- 侧隐窝:向下外续于椎间孔,有脊神经经过 –前壁为椎体后外缘 –后壁为上关节突前面与黄韧带 –外界为椎弓根;
- 正常前后径为3-5mm,<3 mm侧隐窝狭窄,>5mm,不狭窄。



2.椎间盘及其附件的解剖结构:

- 椎体:L1 ~L5 体积递增
- 椎弓根:比胸椎长和宽,椭圆形
- 棘突:水平,方形
- 横突:比胸椎小
- 椎间孔:大,但神经根受压风险增加
- 椎孔:大得能够容纳马尾和神经根



腰段椎管的形状:从上而下为卵圆形----三角形---三叶形

3.阅片重点:
- 看一般情况:椎体生理曲度,椎体个数,椎体形态,腰骶角,椎间隙等。
- 生理曲度:正常腰椎是前凸,看有无变直,反张,错位,滑脱。
- 椎体个数:正常是5个,看有无骶椎腰化或腰椎骶化。
- 椎体形态:看椎体是否完整,有无变形,压缩,粉碎;边缘是否光滑,整齐,有无增生。
- 椎间隙(侧隐窝):各椎间隙是否均匀,等大,有无变窄。
- 椎间盘:有无退变,有无膨出,突出,脱出。
- 椎间管:有无黄韧带增厚,狭窄。
- 腰骶角:正常34度。
重点要看椎间盘,椎间隙,椎管。
4.与读CT片相关的结构:
椎间盘(纤维环和髓核)、椎间管、硬膜囊、脊髓、神经根


5.结合CT及图解看部分椎间盘病变:

椎间盘向旁突出,未压迫脊髓,但侧隐窝狭窄,已压迫神经根

椎间盘旁中央型突出,已压迫硬膜囊,脊髓受压

椎间盘后中央型及侧旁型突出,压近硬膜囊及侧隐窝。
【版权声明】本平台属公益学习平台,转载系出于传递更多学习信息之目的,且已标明作者和出处,如不希望被传播的老师可与我们联系删除
*载下**放射沙龙app,获取更多影像科学习资料,更多学习视频等着你哦