半个月没放屁,查出结肠癌
一位66岁老爷子过来复查胸部CT,半年前做过结肠癌根治手术。
复查结果一切正常。
说来好笑,老人的结肠癌能够及时发现,归功于他半个月没放屁。
老爷子平时肠道功能差,也许有肠炎情况,经常放屁。
半年前有段时间,肚子经常咕噜响,有点胀气,但一直不放屁,还瘦了几斤。
来医院全面检查后发现了右侧结肠癌:

还好,没有发现明显转移,及时做了根治手术。
半年了,老人又胖回来了。
借着这个病例说一下老年人的肚子胀气!
这是一种比较常见的症状,可见于多种疾病,有轻有重。
我们先从轻的开始说,请大家做好预防
1.肚子受凉
睡觉不老实,不小心把肚皮露在外面。
这个好解决,穿连体睡衣就能预防,就像小孩子穿肚兜一样。
2.消化不良
有些人胃肠功能差,吃了不好消化的食物,容易胀气。
这种人要注意调养,可以关注头条号中,一些讲述肠道菌群健康的文章。
警惕一些顽症引起的肚子胀气。
1.胃肠道肿瘤

这位老人73岁,去年开始肚子胀气,有时候咕噜咕噜响,开始没当回事,以为是上了年纪消化能力减退。
吃了一些乳酸菌素片症状缓解,但是经常反反复复,拖了三个月才过来检查。
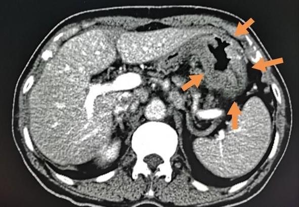
胃镜活检为中、低分化腺癌,CT显示胃窦壁广泛增厚(箭头所示)。
因为来的有点晚,肿瘤已经比较大了,只能做全胃切除。目前已经5个多月了,恢复还不错!
某些胃癌、结肠癌、直肠癌等,可以出现肚子胀气的情况,反反复复,有时吃药可以缓解,如果同时伴有体重减轻,应当引起足够重视,及时到医院做胃镜或肠镜检查。
2.老年人顽固性便秘。

这位老人70多岁,结肠功能减退,肠内容物排空慢,潴留时间长,一直没有大便。
硬结的粪块堵死了肠道,引起低位肠梗阻,大量肠胀气。
经过多次灌肠才缓解,住院一个礼拜。
老年人要少食多餐,适当增加水果蔬菜,尤其是富含纤维素食物,必要时可以配合通便药物,保持大便通畅。
这是个必须重视的问题!
还有一些结肠癌患者,就像本文开头那位老人,是结肠长了肿瘤,堵住了肠道,会引发消瘦、大便带血、肚子胀气,甚至肠梗阻,出现这些症状要及时检查。
3.小儿肚子胀气,伴有阵发性哭闹,要警惕肠套叠。

这是一个5岁小男孩,肚子胀气,鼓鼓的,一阵一阵地哭,嚷着肚子疼。
钡灌肠发现肠套叠,幸好来的时候没超过24小时,及时灌肠整复成功。
小儿肠套叠比较常见,多见于8个月至2岁小朋友,男孩稍多一些,发作时常有阵发性哭闹、肚子疼,不让大人碰,轻轻按压会摸到腊肠样的肿块,家长朋友要重视这些现象!
我是影像科豪大夫,谢谢阅读,欢迎关注!
#清风计划#