今天是世界镇痛日。
疼痛对于每个人来说,都不是一种好的体验,特别是牙疼。俗话说,“牙痛不是病,痛起来要人命”。虽然这句话的前半段并不正确,但后半段却准确地描述了牙痛时的状态。

(来源:https://www.trendsnhealth.com/natural-toothache-remedies/)
那么,我们为什么会牙痛?牙痛了该怎么办?在牙科治疗中,怎么能避免疼痛呢?
什么是疼痛?
疼痛是个体化和主观的体验。即使是在相同个体,对于相同的刺激,在不同时间点的痛觉都可能不同。在一定程度上,痛觉(包括对疼痛的反应)并不能以身体损害的强度和受伤害的程度来衡量。

(来源:https://www.healthline.com/health/rheumatoid-arthritis/advancing-ra-relieving-chronic-pain)
国际疼痛研究协会将疼痛描述为一种负面的体验。虽然疼痛的体验被确切地描述成负面的术语,但是痛觉引起的快速反应能够保护机体远离伤害,这是有益的。
我们为什么会牙痛?
很多情况都可能引起牙痛,比如:
(1)蛀牙

(来源:https://cochraneohg.wordpress.com/2015/04/14/not-enough-evidence-to-recommend-chlorhexidine-treatment-to-reduce-tooth-decay-in-children/)
(2)牙周策划有问题(牙结石是罪魁祸首)

(来源:https://www.slideshare.net/jimisurgon83/acute-periodontal-conditions)
(3)不合适的牙齿修复体

(来源:https://www.drwgielincki.com/before-after-photos/)
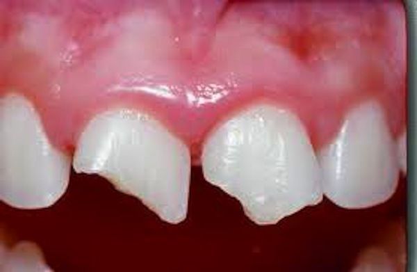
(4)牙外伤:外伤会导致牙折断,也可能是肉眼看不到的牙隐裂。

(来源:http://www.cambridgedentalhub.co.uk/dental-trauma-guide)
牙痛了该怎么办?
解决牙痛问题,最重要的是找到牙痛的原因,所以,看医生是最好的选择。牙医首先会全面诊断,询问疼痛开始时的情况及与疼痛的性质相关的问题,找到问题的根本原因,设定并执行治疗方案。

(来源:https://mydental.guardianlife.com/blog/2017/04/when-should-visit-doctor-tooth-pain/)
但是,如果你当时不方便看医生,牙又痛得要命,可以服用非处方止痛药来缓解牙痛。需要强调的是,止痛药只是缓解一时之疼痛,并不能作为治疗牙痛的手段。
如果你马上要去见医生,牙又痛得要命,建议你还是先忍忍,不要吃止痛药。因为止痛药除了能减缓疼痛,还可能干扰医生对于牙痛原因的正确判断。
服用止痛药时,要根据药品说明书上使用,每天的使用量不要超过说明书建议的剂量。因为有些止痛药可能会损伤你的肝脏和胃黏膜。当你觉得牙痛太厉害,想叠加服用不同种类的止痛药时,一定要问问医生能不能一起服用。
有些人认为,牙痛是局部引起的,为了让止痛药快速起作用,就自己买来止痛药,碾碎后直接敷在牙齿或牙龈——这样做可能会损伤牙龈策划。
在牙科治疗中,怎么能避免疼痛呢?
回避疼痛是一种强烈的、天生的特质。在口腔治疗中若存在痛感,势必需要提供止痛的策略和处理。
疼痛可以导致焦虑和恐惧,从而使得人们不愿接受口腔治疗。如果患者能够理解疼痛,并能配合牙医采取相应的措施如口腔局部麻醉等,进行疼痛控制,那么将保证患者在口腔治疗过程中获得舒适的体验。
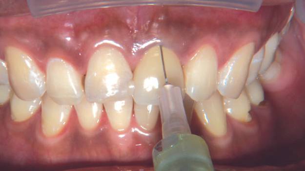
1口腔局部麻醉
口腔局部麻醉简称局麻,使用麻药注射在口腔内或口腔外,从而使注射的区域疼痛感消失。

虽然是局部注射,但有一部分人还是会害怕打针,因为他们担心打针会很疼。其实,针头穿过皮肤的时候并不会太痛,但是由于*醉药麻**推进得过快,会给周围的肌肉策划导致很大压力。
由于任何一种注射都难以避免不适感,因此将不适感降到最低就十分必要。例如,使用麻醉凝胶——它在注射前涂抹在牙龈上,以便减轻针头插入时的刺痛感。
如果你真的对打针怕得要命,有一种像笔一样的麻醉设备也许能帮得上你。麻醉笔的笔尖藏有针头,另一端与电脑相连接。医生可以在移动中轻松完成麻醉操作,保证麻醉剂以缓慢平稳的速度注射到你的牙龈中。这种注射方式给牙龈肌肉带来的压力最小,因此注射过程几乎无痛。
2全身麻醉
7岁以下或者智障、脑瘫儿童的口腔治疗非常困难。由于儿童先天对医院环境及医务人员有恐惧心理,对尖锐的治疗器械和声音敏感,所以,采用吸入麻醉方法较为适合,常用*醉药麻**物七氟烷。

(来源:http://moumnehpolyclinic.com/default.aspx?MenuId=24&ContentID=29)
七氟烷作为一种新型吸入*醉药麻**已广泛应用于包括儿童门诊口腔治疗在内的各种儿童门诊手术中。其优点是对呼吸道刺激小,麻醉诱导和苏醒非常迅速,适合门诊手术,特别适用于儿童。
学龄前儿童使用七氟烷吸入麻醉下口腔治疗的特点:
-
麻醉方法简单,术后易苏醒,不良反应率低。以门诊治疗为主,无需住院,无需特殊准备(仅在治疗前禁食水),可以让儿童迅速进入睡眠状态,对整个治疗过程无记忆,治疗结束后快速苏醒,全过程无注射及创伤,最大限度减少对患儿生理的干扰,促进术后康复。
-
就诊程序便捷,利于患儿及家属就诊和方便医务人员回访。
-
设备、技术先进,保证了手术的安全与舒适。
3笑气吸入
学龄期儿童使用笑气吸入镇静镇痛,是目前应用较普遍一种方式。

笑气对患儿的意识水平产生轻微的抑制,让人镇静放松,缓解恐惧。治疗过程中,患儿处于清醒状态(而不是麻醉状态),能够保持连续自主呼吸,保护性反射活跃,对物理刺激和语言指令能做出相应反应。
笑气镇静起效和恢复迅速,适用于能基本配合治疗的儿童。
随着*醉药麻**物、麻醉器械以及麻醉技术这三个方面的不断改进,牙科治疗过程中的体验舒适度越来越高。
所以,不要再因为怕痛而不去看牙了。
你知道吗?
14000年前的旧石器时代,古人类用尖锐的石器探查并刮除龋坏之后留下的痕迹。但是,当时并没有局部*醉药麻**,接受治疗的过程应该相当痛苦。

图片 | 网络
参考资料 | 无痛口腔治疗有哪些选择?【郁葱(麻醉科专家),樊林(麻醉科专家)】
编审&排版 | 牙医麻麻Debbie(口腔医学硕士)
投稿、合作、加入:[email protected]
