关注口腔健康,展现自信笑容。
有道是,每逢佳节胖三斤。
每逢过节,大家免不了放松对自己的要求,不但饮食上多吃辛辣,而且常常晚睡晚起,胖三斤也是正常现象。
想必有不少朋友在经历了几天放松的生活之后,突然一早起来,发现牙龈肿胀、疼痛,刷牙出血,严重影响了过节的心情。

图片来自网络
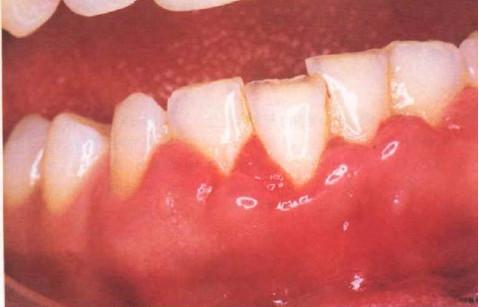
上图可见前牙周围的牙龈都是光亮的状态,而且明显比后牙的牙龈肿胀。往往还伴随有口臭的症状。
导致牙龈肿痛的根源是什么呢?
就是口腔大部分疾病的罪魁祸首——牙菌斑。
牙菌斑肉眼往往看不见,下面这张图上粉色的斑点就是菌斑指示剂染色后的牙菌斑。
很多朋友即使刷完牙齿后再进行染色,依然可以看见大量没有清除的牙菌斑,这便是由于刷牙方法不正确导致的。

图片来自网络
上图也可以看出牙菌斑堆积的位置:牙齿的缝隙以及牙龈的边缘。
作为细菌堆积的重灾区,在外界饮食、作息等不良因素的辅助之下,加重了牙龈的炎症,导致牙龈的肿痛。
擒贼先擒王,牙龈肿痛的治疗首先也要控制牙菌斑。要做到这一点,就要掌握正确的刷牙方法。
可以观看我发布的视频,有一集专门教大家正确的刷牙方法。只有正确的刷牙方法才能够最大程度的清除牙菌斑。
不是靠牙膏的作用。不是靠牙膏的作用。不是靠牙膏的作用。
重要的事情说三遍。
其次刷牙后漱口,选择有抗菌作用的漱口水,起到抑制细菌的作用。
第三,全口洁治。也就是洗牙,由专业人士来帮助你彻底清除牙齿表面的牙菌斑、牙结石。
这样你口内的牙菌斑也就无所遁形了。

图片来自网络
最后也是最重要的一点,尽快就诊,由你的牙医来治疗导致牙龈肿痛的疾病。
春节健康小贴士:
1.睡前不宜吃糖、饼干等淀粉之类的食物。
2.宜多吃清胃火及清肝火的食物,如南瓜、西瓜、荸荠、芹菜、萝卜、苦瓜、芦笋等。
3.忌酒及热性食品。