【行业分析】之心脏电生理系列,将深入分析电生理技术相关设备市场格局及未来发展趋势。本篇将结合各类文献及大佬观点分析心脏电生理发展趋势。绿色电生理理念,减少X射线对医护人员以及患者的危害是将来医疗设备发展的重大方向;冷冻消融因其学习曲线短、严重并发症少,患者更易耐受,痛感小等优点,是未来一大术式趋势。
1、心脏电生理发展趋势
1.1绿色电生理理念
目前导管消融手术方式根据所使用的器械不同,可分为二维消融手术和三维消融手术。二维消融手术是指在导管消融手术中,使用传统的X射线辅助定位,然后进行消融治疗。长期暴露在X线辐射下的介入医生,DNA可能会出现损伤[1]。并且皮肤癌、乳腺癌、脑肿瘤的发生率也较高。对于孕妇,在X线辐射下的射频消融术也是限制使用的[2]。因此,减少X射线对医护人员以及患者的危害是将来医疗设备发展的重大方向。 近年来,随着三维解剖标测技术,包括Carto3(基于磁场)、Ensite(基于电场)、Rhythmia、心腔内三维超声成像(intracadia-cechocardiography,ICE)的不断发展,零射线射频消融不断被应用,成为近年来的研究热点[3]。
(1) 三维解剖标测技术
三维标测技术利用磁场或电场定位,构建出心腔三维模型,更加精确的显示出病变部位情况。优点如下:
- 三维标测能够实时记录手术过程中已经消融过的位置,可减少心脏单个部位重复消融,减少放电次数,从而减少心包压塞;而普通X线二维操作为平面图,无法确切掌握心脏某一位置是否消融过;
- 准确的可视化,精确和清晰地看到解剖部位中的所有导管;
- 影像化建模快速标测方法,能够移动导管快速进行标测建模;
- 优化工作流程,从而进一步提高工作效率;
- 术者及患者暴露于X线的时间明显缩短;
- 靶点定位精确;
- 使消融导管拥有复位记忆功能,精确度提高[4]。
图1. 三维标测系统解剖图像[5]
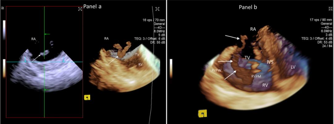
(2) 心腔内三维超声技术
心腔内超声与血管内超声不同,不需要专用的超声成像仪,但其专用探头类似于血管内超声导管。将微型的换能器安装在心导管的尖端,再经外周血管送入心腔,换能器发射声波,将接收到的回波经计算机处理后形成超声图像[6]。

图2. 心腔内三维超声技术心脏图像[7]
1.2冷冻消融技术
冷冻消融的机制系通过冷冻能源所导致的低温引起靶点心肌细胞坏死,进而达到治疗效果,目前临床应用的冷冻剂为压缩的N2O,通过极其细小的通道输送至球囊,对策划进行冷冻;N2O的沸点为-88.48℃。冷冻球囊实现低温消融主要是通过Joule-Thomson效应,即节流膨胀效应。该效应是指高压流体经过细小的毛细管到达低压区域时,流体膨胀吸热所引起的温度下降。在CBA体系中,高压下的液化制冷剂被储存于常温下与外界隔绝的钢瓶中。冷冻消融开始时,液化制冷剂通过系统内置毛细管到达球囊内胆中,解除压缩并气化膨胀,使球囊大幅度降温而产生冷冻消融效应[8]。
冷冻消融的优势学习曲线短、严重并发症少及再住院率低[9],患者更易耐受,痛感小,操作简便。然而射频消融“逐点式”消融手术时间较长,对术者的操作水平要求也较高,至少需要操作50-100例,才能掌握这一治疗技术[10]。

图3. 冷冻消融与射频消融技术对比图[11]
1.3心脏脉冲电场消融技术
心脏脉冲电场消融(pulsed field ablation, PFA)是一种用脉冲电场形成局部高电压差,通过在细胞膜上形成不可逆的纳米级孔隙和细胞内容物的泄露的方式从而破坏细胞膜的稳定性[12]。 PFA的理论基础源于电穿孔,是指在外加电场的作用下,利用脉冲发生器发放微秒、纳秒级电脉冲使细胞膜产生不定的电位,这样的刺激导致跨膜电位的形成,它可局部克服磷脂双层的介电强度,导致在脂质双层中形成亲水性纳米级的孔隙,从而使细胞膜通透性发生改变。使用更强的电场当超过阈值能量水平引起细胞膜永久通透,破坏细胞内环境稳态,从而导致细胞凋亡,这个过程被称为不可逆电穿孔(irreversible electroporation, IRE)[13]。
既往研究表明诱导细胞坏死所需的脉冲强度活力阈值因策划类型而异,心肌细胞是最敏感的策划[14]。这就使得利用PFA进行肺静脉隔离时对邻近策划消融风险降到最低,而传统的射频消融和冷冻消融因为是利用热量变化对策划进行消融,依赖于凝固性坏死,就可能对食管、隔神经等周围策划导致损伤(下图为三种技术对比)。 PFA可在消融区域内保持策划基质的完整性,并且不依赖消融导管的贴靠就可实现对策划的消融[9]。

目前电生理巨头公司都已经布局PFA产品[15]:
- FaraPulse
FaraPulse是一家私营企业,专注于开发用于治疗房颤(AF)和其他心律失常的脉冲电场消融(PFA)系统。FaraPulse平台系统由鞘管、发生器和导管组成,可以通过产生治疗电场来消融心脏策划,而无需使用射频消融或冷冻消融等能量源。 波士顿科学公司于2020年九月中旬宣布已与Farapulse公司签署拥有独家股权收购的投资协议。该公司已计划在美国开展关键的IDE试验(美国试验用医疗器械的豁免制度),同时也在积极争取欧洲的CE认证。

图4. FARAPULSE PFA导管与消融系统(资料来源:公司官网)
- PulseSelect
美敦力公司于2020年1月即宣布,其PulseSelect 脉冲场消融(PFA)系统已获得美国 FDA的批准进行一项研究设备豁免(IDE)试验,PULSED AF是一项前瞻性、多中心、非随机、无关联和全球范围的研究,将纳入使用PulseSelect PFA 系统治疗的患者,以评估PulseSelect 系统的安全性和有效性。
目前美敦力将脉冲场消融系统产品提交NMPA创新医疗器械审查,并且获得审批。
- VARIPULSE
Biosense Webster(隶属于强生)做为心律失常领域的领导者,其在2020年发布了该公司在欧洲进行的应用PFA技术的inspIRE临床研究招募了第一批患者,这项研究将评估采用VARIPULSE导管及TruPulse发生器在对阵发性房颤的安全性和有效性,inspIRE是一项前瞻性,多中心,非随机的研究,将招募300余名患者,预计2022年下半年完成临床研究结果搜集及报告。
目前强生将磁定位多通道脉冲电场消融系统产品提交NMPA创新医疗器械审查,并且获得审批。
注释
[1] 李光宇,钱骏,张薪茹,等.Ensite Velocity 指导的X线零曝光射频消融特发性右心室室性期前收缩的疗效观察[J].浙江医学,2017,39( 13) :1108-1110.
[2] 刘深荣,朱庭延,陈燕玉,等.Carto3系统引导压力导管射频消融术治疗阵发性房室结折返性心动过速28例[J].山东医药,2017,57(15): 86-88.
[3] 林明宽.零射线消融及起搏治疗心律失常的进展[J].实用心电学杂志,2019,28(05):340-344.
[4] 弗若斯特沙利文《血管介入器械及电生理器械行业独立市场研究》.
[5] Three-dimensional electroanatomical mapping for non-pulmonary vein foci in a patient with complete situs inversus and dextrocardia. Indian Pacing Electrophysiol J. 2018 May-Jun;18(3):115-119. doi: 10.1016/j.ipej.2017.12.004. Epub 2017 Dec 21. PMID: 29274801; PMCID: PMC5986255. Minami K, Kumagai K, Sugai Y, Nakamura K, Naito S, Oshima S.
[6] 徐亚伟.心腔内超声应用现状及前景[J].同济大学学报(医学版),2008(05):1-3.
[7] Three-dimensional intracardiac echocardiography and pulmonary embolism. Cardiovasc Ultrasound. 2020 Aug 20;18(1):36. doi: 10.1186/s12947-020-00220-3. PMID: 32819376; PMCID: PMC7441699. Yastrebov K, Brunel L, Paterson HS, Williams ZA, Bannon PG.
[8] 经冷冻球囊导管消融心房颤动中国专家共识[J].中国心脏起搏与心电生理杂志,2020,34(02):95-108.
[9] Kuck KH, Brugada J, Fürnkranz A, Metzner A, Ouyang F, Chun KR, Elvan A, Arentz T, Bestehorn K, Pocock SJ, Albenque JP, Tondo C; FIRE AND ICE Investigators. Cryoballoon or Radiofrequency Ablation for Paroxysmal Atrial Fibrillation. N Engl J Med. 2016 Jun 9;374(23):2235-45. doi: 10.1056/NEJMoa1602014. Epub 2016 Apr 4. PMID: 27042964.
[10] 资料参考:https://m.thepaper.cn/newsDetail_forward_7744980.
[11] FIRE AND ICE Investigators. Cryoballoon or Radiofrequency Ablation for Paroxysmal Atrial Fibrillation. N Engl J Med. 2016 Jun 9;374(23):2235-45. doi: 10.1056/NEJMoa1602014. Epub 2016 Apr 4. PMID: 27042964. Kuck KH, Brugada J, Fürnkranz A, Metzner A, Ouyang F, Chun KR, Elvan A, Arentz T, Bestehorn K, Pocock SJ, Albenque JP, Tondo C.
[12] Reddy VY,Neuzil P,Koruth JS,et al. Pulsed field ablation for pulmonary vein isolation in atrial fibrillation] J]. J Am Coll Cardiol,2019,74(3 ) :315-326.
[13] 马正科,何智余,姚亚丽.心房颤动脉冲电场消融的研究进展[J].心血管病学进展,2021,42(02):114-117.
[14] Rems L,Kasimova MA,Testa I,et al. Pulsed electric fields can create pores in the voltage sensors of voltage-gated ion channels] J]. Biophys J,2020,119( 1): 190-205.
[15] 网络公开资料整顿;电生理科技前沿:心脏脉冲电场消融技术应用进展
http://www.360doc.com/content/20/1003/13/51740803_938643440.shtm.

原创声明 :转载请注明文章来源 和义广业网
更多医械行业分析图谱、论坛直播欢迎关注和义广业创新平台公众号,旗下和义广业网( heyiguangye.com )作为医械创新创业一站式门户网站,提供项目诊断,融资对接,医械研究、创业培训,会议及路演直播等免费资源。
文章来源:和义广业创新平台
作者:杜福崇
审核:晓柏