“补牙材料这么多,到底怎么选?”
“我已经补牙了,牙为啥还疼啊?”
“我刚补的那颗牙这几天总是酸酸的,咋回事?”
“我补的牙总是酸痛,是不是我用的材料有问题啊!”
……
其实,补牙后的牙齿不适,多数是正常现象,只有个别预示着牙齿还有其他问题。
我们该如何辨别补牙材料呢?

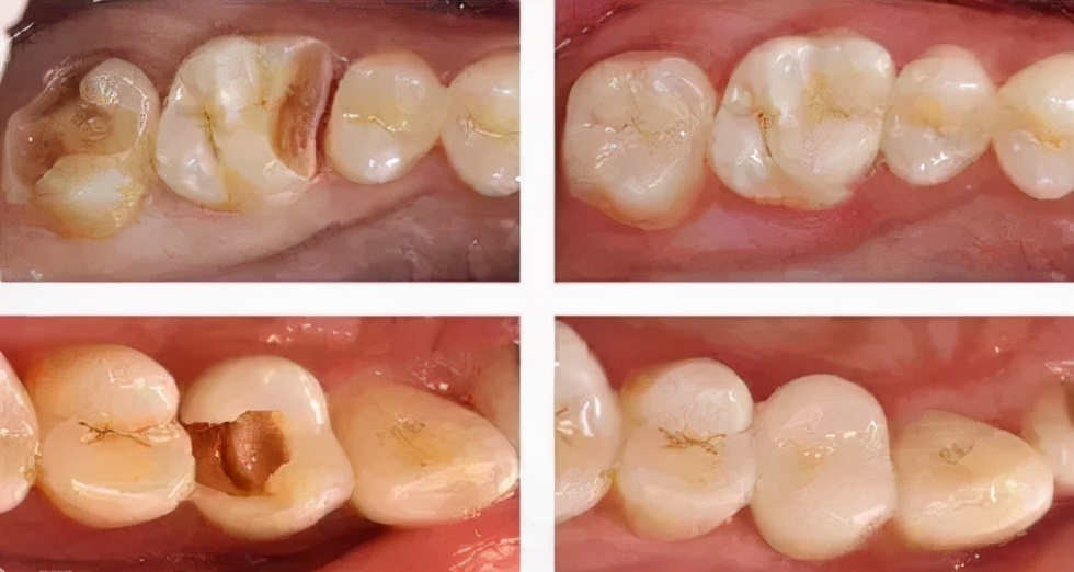
首先,大家一起了解下补牙的材料有哪些吧~
常见的补牙材料主要有:银汞合金、复合树脂、玻璃离子水门汀等等,材料不同,对牙髓的刺激性、软化牙本质有再矿化作用、修复性牙本质的形成、能够负担的咀嚼压力等都各不相同。
1. 银汞合金
是汞和银锡合金粉相互作用的汞齐化合物,多用于需承受牙合力的I类、II类洞和不必考虑美观的V类洞;用于套卡环基牙的洞;牙体桩冠修复的桩核或全冠修复的内层充填体。由于汞的存在,银汞合金这种充填材料已经应用较少。

2.复合树脂
是在有机合成高分子树脂内加入经特殊处理的无机填料的充填材料,目前应用最为广泛。多用于III类洞、V类洞的充填,也有高强度的复合树脂可用于后牙I/II类洞的充填。
采用粘结技术也可修复IV类洞和严重牙体缺损的患牙。光固化复合树脂,色泽稳定、粘结性强,特别适宜前牙的美容性修复。
3. 玻璃离子聚合粘固粉
是一种对牙髓刺激轻,对牙体硬策划有粘结性,但强度较银汞合金和复合树脂低的多用途材料。适用于III类、V类洞,也可用于乳牙充填。
4.磷酸锌粘固粉
作深洞双层垫底的上层承力材料,半年以内的窝洞封闭材料,也用于牙体修复的冠、桥修复。一般不单独使用。
5.嵌体
嵌体是在口外石膏模型上由专门的口腔技师制作出来的,然后再由临床医生将其戴入患者口内,最终粘固而成的。
嵌体在形态、硬度等各方面与牙齿吻合度很好,可以很好恢复原来牙齿的外形及咀嚼效率,这是传统补牙无论如何都无法比拟的,所以嵌体价格相对较高。


为避免因为材料不适合自己导致的牙齿酸痛,补牙需要根据蛀牙位置、大小,在专业牙医建议下选择安全有效、稳固美观并且最适合的材料。

补牙之后,哪些属于正常现象呢?
补牙之后,有些人会对冷热刺激有酸酸的感觉,这是正常的现象,通常这些症状会在1月后消失。

如果2-4周后这种疼痛感觉没有消失,甚至是越来越剧烈,你就需要去看牙医了。医生会根据牙齿的状况,可能会建议你使用脱敏的牙膏或者建议你做牙髓治疗。
为了避免刺激补过的牙齿,补牙之后,要吃硬度和温度适中的食物,避免进食过冷过热或过硬食物。如果只是牙齿感到酸痛,不必吃止疼药。如果疼痛难忍,需要和医生联系进行复诊。

出现哪些情况需要就医呢?
充填物周围疼痛,这种疼痛的方式有很多,每个疼痛的原因都是不同的。
牙齿咬合痛 :在麻药作用消退后,此类疼痛就会出现,一般来说,这表明充填物影响咬合,可以让牙医调整一下充填物的高度。
冷热刺激痛: 牙齿受到冷热刺激时出现疼痛感,冷热刺激源移除后疼痛就会消失。如果冷热刺激去除后疼痛仍然持续,这说明你的牙髓已经有了不可逆的损坏,需要去看牙医。
牙齿隐隐跳痛: 如果牙齿的龋洞很深,一直到了牙髓,那么就会出现这种疼痛,此时表示牙髓已经被感染。
充填物老化: 补牙时间长了,牙齿里的充填物会有不同程度的磨损或崩裂,我们自己可能感觉不到充填物被磨耗,但是专业的口腔医师可以在常规的检查中发现问题。
如果充填物和牙齿硬策划间粘结不密合,出现了缝隙,食物碎屑和致龋细菌会在缝隙内繁殖。你的牙齿很有可能会出现另一个龋洞,如不及时治疗,可能会损伤牙髓,甚至引起牙根尖部的炎症。
所以,别以为补过的牙就可以一劳永逸,定期检查还是非常重要的。
如果本来牙齿充填的范围很大,继续在旁边发展的蛀牙也很大,很有可能会使你的牙齿没有足够的牙策划支撑充填物。发生这种情况的话,牙医一般会给你做个牙冠来保护充填物。
最后,医生提醒,正确辨别补牙后的不适,有问题还需及时看医生,定期口腔检查十分重要。