韩梅梅:昨晚我崽崽牙疼的厉害,痛的一晚上没睡觉,今天要带他去看牙了!
李 雷:我也刚看过牙,看之前医生还拍了几张牙片,看得很清楚……
韩梅梅:小朋友拍这个有辐射危害吗?张开嘴就能看到牙齿了,为啥要拍片?

此处省略聊天内容一千字。日常生活中这样的对话很常见,你是不是也有这样的疑惑:不知道为什么看牙要拍片,还担心拍牙片被辐射对身体有伤害?带着这些疑问我们继续往下看。
1、为什么要拍X线片?

牙齿的结构
牙齿长在口里,由牙冠和牙根两部分组成,牙冠又分为牙釉质、牙本质、牙髓,除了外层的一点牙釉质,牙齿里面出了问题,肉眼是无法观察到的。牙根深埋在骨头里,因此,为了对牙齿进行全面的了解,需要拍X线片来观察。
通过X光片除了了解牙齿病变情况,还可以了解牙槽骨内是否有埋伏牙、多生牙、牙齿有没有空洞、牙根下有没有囊肿、周围骨头有没有吸收等,依据X线片综合分析可以提高医生诊断治疗牙齿的准确性和成功率。
2、牙片分哪几种?

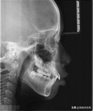
头颅侧位片

牙科全景片

牙根尖片

口腔CBCT
牙片主要有全景片(大片)和根尖片(小片)和头颅侧位片,必要时可做口腔科电子计算机X线体层摄影(CBCT)辅助检查。
3、牙科X线片的辐射对身体有害吗?
牙片是医治过程中的重要手段之一,在治疗前用于发现病变程度、范围;治疗中引导治疗、确定治疗范围和治疗深度;治疗后观察疗效。拔智齿、做根管治疗、牙周病、种植牙、牙齿矫正等都需要进行拍片。
牙齿在牙片上显示出白色阻射影像,牙釉质阻射最强,牙本质和牙骨质阻射低于牙釉质,牙髓腔呈黑色透明影像,根管口至根尖孔呈逐渐变细的影像。
哦哦哦,原来是这样,现在终于清楚了拍牙片的必要性了。看牙拍片也说明医生对患者认真负责的态度啊!不会没有根据的诊治!可是问题又来了,牙片是通过X光拍摄的,那看一次牙得吃多少辐射啊?担心!
其实人类无时无刻不在接受辐射,一个人每年所受的辐射剂量大约为2500微西弗,这些辐射75%来自大自然,25%来自人工辐射。
一张牙科小牙片的辐射剂量约为4~5微西弗,全景片约为7微西弗左右,牙科CT约为100微西弗。我们打个比方吧,10小时航空飞行的辐射剂量为30微西弗。这就意味着,一张小牙片的辐射剂量相当于乘坐1个多小时飞机,一张全景片的辐射剂量相当于2个小时左右的飞行辐射,一次牙科CT的辐射剂量相当于北京飞伦敦一个来回。

常见辐射一览表
相比全身检查来说,牙科的各种影像学检查,辐射剂量是相当低的。而且随着科技的发展,传统的X线胶片已经被数字化影像片所取代,辐射剂量也大大减少。
联合国原子辐射效应科学委员会表明,没有直接证据显示低于10000微西弗的剂量对人体导致危害。这个数值远远低于日常生活及实际所做的X线片检查的辐射剂量,即使是专职的放射工作人员也远远不可能达到这样的数值。
4、孕妇和儿童,可以拍牙片吗?



在某些牙科治疗的紧急状况下,孕妇可能不得不在宝宝出生前拍牙片,因为未经治疗的牙科感染会对胎儿健康构成的潜在威胁。怀孕初期三个月,一般不主给张孕妇拍牙片,毕竟此阶段胎儿较常人更敏感。而三个月过后,在进行拍片过程中,孕妇应在腹部围上铅制的防护围裙。对孕妇或哺乳期妇女,拍牙科X线片并非不可。专家强调,只要不是对准腹部或其附近部位的高剂量X辐射,准妈妈大可不必过于担心。
儿童也是可以拍牙片的,一般医生会为他们穿上铅衣或铅裙,良好的抗辐射保护措施会将危害的效果降到微乎其微。
终于一切真相大白啦!这下您也十分清楚了吧?总而言之,牙片对于口腔疾病的诊断是非常有帮助的,而且辐射量也很小,童鞋们可以在牙医的建议下,放心地拍牙片啦!
最后大家有什么疑问请关注牙匠周私信我,下班或者空余时间一定回复,谢谢。