酿酒酵母是指含有大量能将糖类转化为酒精的酵母等人工培养液,它与酵母的概念有所区别,酵母是指个体的微生物酵母菌。酿酒:利用酵母菌的发酵作用在无氧状态下分解葡萄糖产生副产品甲醚再经过酯化作用产生乙醇。酿酒酵母是酿酒发酵过程中经常使用的生物种类,具有非常好的耐受性,而且发酵能力也很高。基本上以“蛇龙珠”、“赤霞珠”、“品丽珠”等葡萄品种为原料的干红葡萄酒都经过酿酒酵母的发酵,酿酒酵母能让葡萄中有益成分更好地浸提,然后向葡萄酒中释放大量有益的大分子风味物质,从而使酒液口感更加醇厚,酒体更加饱满,香气更加悠长。

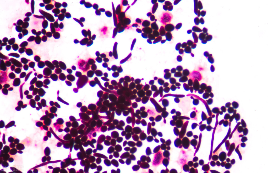
酿酒酵母菌属于酵母菌科,是一种单细胞生物,呈卵圆型或球型,繁殖方式为出芽繁殖,孢子繁殖,接合繁殖三种,形态简单但生理复杂,工业上用于酿酒。繁殖方式有3种:①出芽繁殖,出芽时,由母细胞生出小突起,为芽体(芽孢子),经核分裂后,一个子核移入芽体中,芽体长大后与母细胞分离,单独成为新个体。繁殖旺盛时,芽体未离开母体又生新芽,常有许多芽细胞连成一串,称为假菌丝;②孢子繁殖,在不利的环境下,细胞变成子囊,内生4个孢子,子囊破裂后,散出孢子;②接合繁殖,有时每两个子囊孢子或由它产生的两个芽体,双双结合成合子,合子不立即形成子囊,而产生若干代二倍体的细胞,然后在适宜的环境下进行减数分裂,形成子囊,再产生孢子。

酵母在饲料中主要是起发酵作用的,发酵菌是由:放线菌、乳酸菌、枯草杆菌、芽孢杆菌、光合细菌、酵母菌、等单一菌种经特殊工艺研制而成的高效复合微生物。酿酒酵母是与人类关系最广泛的一种酵母,不仅因为传统上它用于制作面包和馒头等食品及酿酒,还在于在现代分子和细胞生物学中用作真核模式生物,其作用相当于原核的模式生物大肠杆菌。酿酒酵母是发酵中最常用的生物种类。酿酒酵母的细胞为球形或者卵形,其繁殖的方法为出芽生殖。

作为饲料中代替饲料发酵剂,有极强的好(耗)氧发酵分解能力。把复杂的有机物质分解成高效肥料的微生物制剂统称饲料发酵剂,饲料发酵剂分为人工选育的发酵剂和自然选育的发酵剂。酵母菌在温度适合、氧气和养料充足的条件下一般进行无性繁殖, 以出芽方式为主;在条件苛刻时形成子囊孢子, 待条件好转时, 子囊孢子又可萌发成单倍体营养细胞。在有氧气的环境中, 将葡萄糖转化为水和二氧化碳, 生长也较快;缺氧时, 发酵型的酵母通过将糖类转化成为二氧化碳和酒精来获取能量;对渗透压有相当高的耐受性;耐酸, 最适pH为4.5~5.0;最适生长温度一般为20~30℃。

微生态辣椒专用油粉添加脂肪酶、胆汁酸,乳化脂肪粉,彻底释放大豆油不能消化吸收的能量物质,补充能量更充分,营养吸收更彻底,完全可以替代其他油脂与油脂饲料,可将产品直接加入饲料中混合均匀,也可根据季节和用户的饲养经验添加。添加微生物有益菌及酶制剂,可建立稳固的肠道菌平衡,促进营养吸收,减少氨气排放,改善饲养环境,降低污染。

微生态辣椒专用油粉由 食品级大豆乳化油、膨化玉米、辣椒粉、松针粉、大蒜粉、姜黄粉、嗜酸乳杆菌、枯草芽杆菌、酿酒酵母、复合酶、糖蜜、酶制剂、矿物元素、氨基酸、维生素、营养性添加剂等原料组成